-
By Mallika Goyal, MD
Apollo Health City
Co-author(s): Sridhar A, MD - Uploaded on Nov 3, 2012.
- Last modified by Chayal Patel on Nov 27, 2012.
- Reviewed by Chayal Patel
- Rating
- Appears in
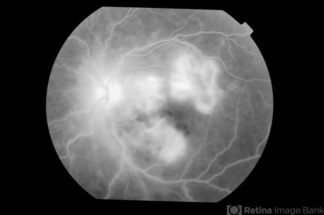
- Dengue Retinitis
- Condition/keywords
- Dengue retinitis, retinal exudates
- Photographer
- Mallika Goyal, MD
- Imaging device
- Fundus camera
- Description
- Late phase fluorescein angiogram of left eye of a 37-year-old lady recovering from dengue fever with bilateral dengue retinitis shows staining of retinal exudates.

Initializing download.