-
By Lancaster Course in Ophthalmology
1980 - Uploaded on Feb 25, 2019.
- Last modified by Caroline Bozell on Feb 28, 2019.
- Rating
- Appears in
- Unit 05 Diseases of the Eyelids
- Condition/keywords
- nevus, epithelial
- Description
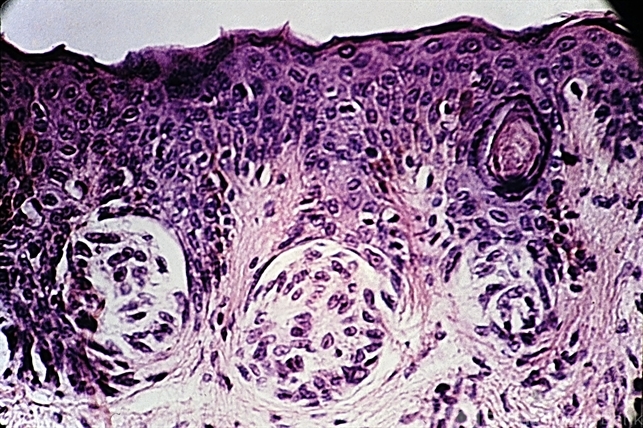
- Three nests of nevus cells at the tips of epithelial rete pegs, forming a "junctional" nevus.

Initializing download.