-
By Lancaster Course in Ophthalmology
1980 - Uploaded on Feb 25, 2019.
- Last modified by Caroline Bozell on Mar 7, 2019.
- Rating
- Appears in
- Unit 07 Diseases of the Conjunctiva Cornea and Sclera
- Condition/keywords
- nevus, conjunctiva, epithelial, cyst
- Description
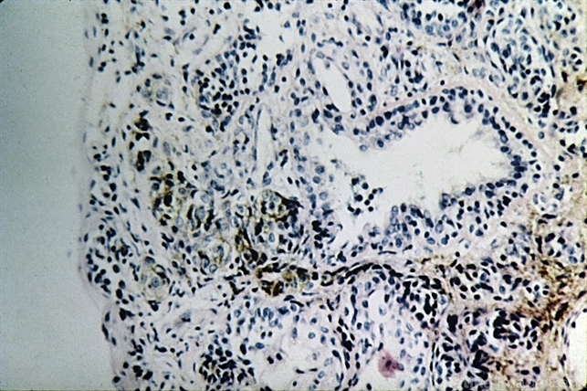
- Nevus of the conjunctiva. Clusters of benign nevus cells surround an epithelial inclusion cyst.

Initializing download.