-
By Lancaster Course in Ophthalmology
1980 - Uploaded on Feb 20, 2019.
- Last modified by Caroline Bozell on Feb 28, 2019.
- Rating
- Appears in
- Unit 05 Diseases of the Eyelids
- Condition/keywords
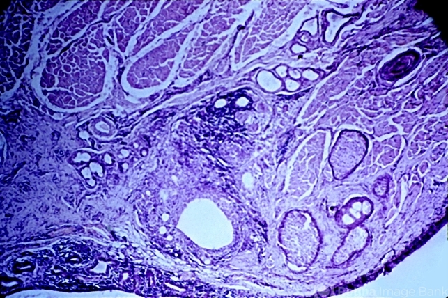
- chalazion, situ, lipogranulomatous reaction, meibomian lobule
- Description
- Small chalazion in situ in the lid. Lipogranulomatous reaction around large and small clear spaces (pools of dissolved fat) from a single obstructed meibomian lobule.

Initializing download.