-
By Lancaster Course in Ophthalmology
1980 - Uploaded on Feb 20, 2019.
- Last modified by Caroline Bozell on Feb 28, 2019.
- Rating
- Appears in
- Unit 03 Granulomatous Inflammations of the Eye
- Condition/keywords
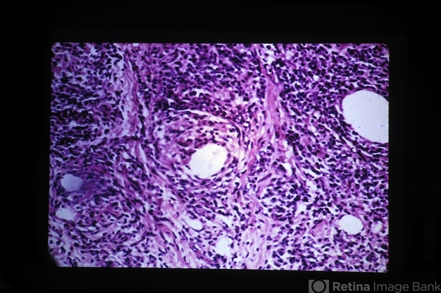
- chalazion, chronic inflammation, lipid
- Description
- Area of chalazion showing lipid droplets represented by empty spaces and predominantly chronic inflammation.

Initializing download.