-
By ADRIANO FERREIRA
UNIFESP
Co-author(s): Roberta Andrade - Uploaded on Jan 28, 2017.
- Last modified by Caroline Bozell on Apr 7, 2017.
- Image of the week
-
Apr 9, 2017
View all images of the week - Rating
- Appears in
- Miscellaneous
- Condition/keywords
- arterial occlusion, occlusion of retinal vein
- Photographer
- Mr. Jose Luiz
- Imaging device
-
Fundus camera
TRC50DXi - Description
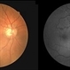
- 32-year-old female with a sudden loss of vision in the left eye. This fundus photograph shows central arterial occlusion plus central vein occlusion secondary to ophthalmic artery occlusion. This patient has thromboangitis obliterans.

Initializing download.