-
By Avris Romario Diparaja Siahaan
- Uploaded on Oct 17, 2014.
- Last modified by Caroline Bozell on Oct 20, 2014.
- Rating
- Appears in
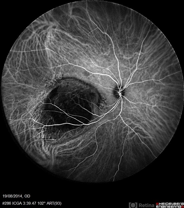
- Choroidal Tumor
- Condition/keywords
- indocyanine green (ICG) angiography, ultra-wide field imaging, choroidal tumor
- Photographer
- Avris Romario Diparaja Siahaan, Klinik Mata Nusantara
- Imaging device
-
Scanning laser ophthalmoscope
Heidelberg Spectralis - Description
- An ICG Angiography photography of a 27-year-old woman with a choroidal tumor in her right eye.

Initializing download.