-
By Hamid Ahmadieh, MD
Labbafinejad Medical Center - Uploaded on Sep 2, 2012.
- Last modified by Hamid Ahmadieh, MD on Sep 2, 2012.
- Rating
- Appears in
- Miscellaneous
- Condition/keywords
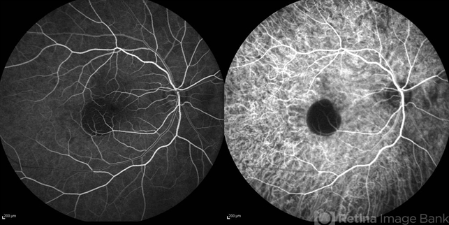
- pigment epithelial detachment (PED), central serous chorioretinopathy (CSCR), indocyanine green (ICG) angiography
- Photographer
- Hamid Ahmadieh, Ophthalmic Research Center, Labbafinejad Medical Center
- Imaging device
- Heidelberg Spectralis
- Description
- Early phase FA & ICG images of a 37-year-old man with a serous PED secondary to CSCR

Initializing download.