-
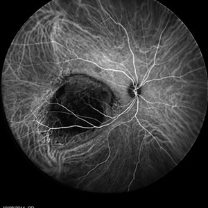
Choroidal Tumor
Oct 17 2014 by Avris Romario Diparaja Siahaan
An ICG Angiography photography of a 27-year-old woman with a choroidal tumor in her right eye.
Photographer: Avris Romario Diparaja Siahaan, Klinik Mata Nusantara
Imaging device: Heidelberg Spectralis
Condition/keywords: choroidal tumor, indocyanine green (ICG) angiography, ultra-wide field imaging
