-
By SHILPI H NARNAWARE, ICO ( Retina) , FAICO ( Vitreo-Retina)
SARAKSHI NETRALAYA
Co-author(s): Prashant Bawankule, Sarakshi Netralaya , Nagpur, Maharashtra , India - Uploaded on Jan 23, 2025.
- Last modified by Joshua Friedman on Apr 3, 2025.
- Image of the week
-
Apr 6, 2025
View all images of the week - Rating
- Appears in
- Miscellaneous
- Condition/keywords
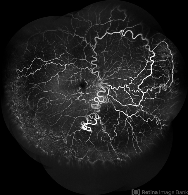
- FFA in a case of Racemose angioma
- Photographer
- Shilpi Narnaware, Sarakshi Netralaya , Nagpur, Maharashtra , India
- Imaging device
-
Fundus camera
Mirante ( by Nidek) - Description
- 42 year old male, presented with blurred vision . Examination revealed Racemose angioma. FFA was done which revealed tortuosity of blood vessels.

Initializing download.