-
Idiopathic Choroidal Folds-Multimodal Imaging
Jan 22 2024 by SHILPI H NARNAWARE, ICO ( Retina) , FAICO ( Vitreo-Retina)
45 year female with bilateral idiopathic choroidal folds
Photographer: Shilpi Narnaware, Sarakshi Netralaya , Nagpur, Maharashtra , India
Imaging device: Mirante ( by Nidek)
Condition/keywords: Choroidal Folds
-
Inverted ILM flap in RD with FTMH-First Post Op Day
Aug 23 2024 by SHILPI H NARNAWARE, ICO ( Retina) , FAICO ( Vitreo-Retina)
This is first post op day OCT of patient showing stuffed ILM in macular hole ,who underwent Vitrectomy with inverted ILM flap with silicon oil insertion in a case of RRD with FTMH.
Photographer: Shilpi Narnaware, Sarakshi Netralaya , Nagpur, Maharashtra , India
Imaging device: Mirante ( by Nidek)
Condition/keywords: FTMH, Inverted ILM technique, RD
-
Inverted ILM Flap in RD with FTMH-First Post Op Day
Oct 29 2024 by SHILPI H NARNAWARE, ICO ( Retina) , FAICO ( Vitreo-Retina)
OCT showing stuffed ILM under oil on first post op day in a case of RRD with FTMH.
Photographer: Shilpi Narnaware, Sarakshi Netralaya , Nagpur, Maharashtra , India
Imaging device: Mirante ( by Nidek)
Condition/keywords: FTMH, Inverted ILM technique, RD
-
Galaxy
Oct 29 2024 by SHILPI H NARNAWARE, ICO ( Retina) , FAICO ( Vitreo-Retina)
Retro mode image of a patient who underwent vitrectomy for RRD , with sub-retinal multiple PFCL bubbles giving appearance of arrangement of planets & other bodies in a galaxy
Photographer: Shilpi Narnaware, Sarakshi Netralaya , Nagpur, Maharashtra , India
Imaging device: Mirante ( by Nidek)
Condition/keywords: PFCL
-
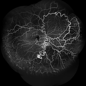
Racemose Angioma
Jan 23 2025 by SHILPI H NARNAWARE, ICO ( Retina) , FAICO ( Vitreo-Retina)
42 year old male, presented with blurred vision . Examination revealed Racemose angioma. FFA was done which revealed tortuosity of blood vessels.
Photographer: Shilpi Narnaware, Sarakshi Netralaya , Nagpur, Maharashtra , India
Imaging device: Mirante ( by Nidek)
Condition/keywords: FFA in a case of Racemose angioma
-
Seedlings of Fungal Endophthalmitis
Mar 14 2025 by SHILPI H NARNAWARE, ICO ( Retina) , FAICO ( Vitreo-Retina)
57 year diabetic female , was treated as a case of recurrent vitreous post cataract surgery. Patient was posted for vitrectomy 3 months post cataract surgery. Intra-operatively, multiple yellowish colonies were seen all over the posterior pole were seen, which were later found to be Aspergillus colonies.
Photographer: Shilpi Narnaware, Sarakshi Netralaya , Nagpur, Maharashtra , India
Imaging device: Ngenuity
Condition/keywords: endophthalmitis, fungal
-
RD with GRT with Dislocated Cataractous Lens
Nov 9 2025 by SHILPI H NARNAWARE, ICO ( Retina) , FAICO ( Vitreo-Retina)
Young high myope male presented with DOV since 6 months. Examination revealed , Subluxated cataractous lens with RD with PVR with > 270 degrees GRT
Photographer: Shilpi Narnaware, Sarakshi Netralaya , Nagpur, Maharashtra , India
Imaging device: Mirante ( by Nidek)
Condition/keywords: PVR, retinal detachment
