-
By Zach Seim
Retina Specialists of Michigan
Co-author(s): Joseph Boss, MD - Uploaded on Jul 5, 2024.
- Last modified by Joshua Friedman on Jul 8, 2024.
- Rating
- Appears in
- Miscellaneous
- Condition/keywords
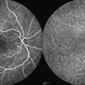
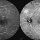
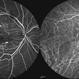
- Coats' disease, OPTOS CALIFORNIA, Optos, FA, indocyanine green (ICG) angiography
- Photographer
- Zach Seim
- Imaging device
-
Scanning laser ophthalmoscope
Optos California - Description
- FA/ICG of a 64 year old female with Adult Onset Coats' Disease. VA DCC CF@3 feet upon presentation. Therapy options discussed extensively.

Initializing download.