-
By KANWALJEET HARJOT MADAN, M.S. (Ophthalmology); FAICO (Vitreous - Retina)
Thind Eye Hospital, Jalandhar City (Punjab). India. - Uploaded on Mar 30, 2024.
- Last modified by Joshua Friedman on Jul 2, 2024.
- Image of the week
-
Jul 7, 2024
View all images of the week - Rating
- Appears in
- Retina Images
- Condition/keywords
- cytomegalovirus (CMV), retinitis, AIDS
- Photographer
- Dr. Kanwaljeet Harjot Madan, Thind Eye Hospital, Jalandhar City (Punjab) INDIA.
- Imaging device
-
Fundus camera
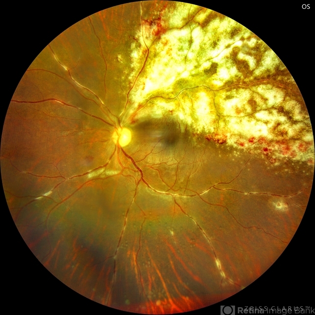
Zeiss Fundus Camera - Description
- This is Fundus Photograph of left eye of 53 year male depicting an area of Retinal Necrosis with few Retinal Haemorrhages suggestive of CMV Retinitis. Areas of Perivascular Exudation also seen. On investigations, the patient was found to be HIV positive. He was started on Anti Retro Viral treatment after physician opinion.

Initializing download.