-
By MEENAL SONI
ASG Eye Hospital Jodhpur
Co-author(s): Dr. Pravin Jain Consultant and Head; Dr. Pramod K Suman Consultant, VR services ASG eye Hospital Jodhpur - Uploaded on Jan 7, 2024.
- Last modified by Joshua Friedman on Jan 8, 2024.
- Rating
- Appears in
- Impending STBRVO with ME to frank BRVO
- Condition/keywords
- Impending BRVO with macular edema
- Photographer
- Dr. Meenal Soni, VR fellow ASG eye hospital, Jodhpur (Raj)
- Imaging device
-
Fundus camera
Visucam - Description
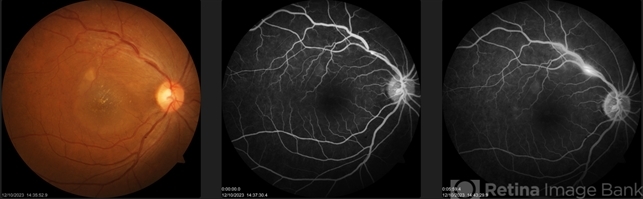
- A middle aged female presented to the OPD with diminution of vision in right eye for past 7 days. Fundus examination findings depict supero-temporal AV crossing changes with macular hard exudates and oedema. On FFA we could clearly visualise the artery compressing the vein with leakage of dye in late phase extending into the macular region. On systemic evaluation the patient was found to be hypertensive with deranged lipid profile. She was advised injection anti VEGF for macular oedema and a physician consult for commencing the treatment for systemic condition. Despite a physician reference patient was not started on anti hypertensives and later presented with frank STBRVO with macular oedema after 3 months.

Initializing download.