- 
            
             By MEENAL SONI By MEENAL SONI
 ASG Eye Hospital Jodhpur
 Co-author(s): Dr. Pravin Jain consultant and Head VR services ASG eye Hospital Jodhpur, Dr. Pramod kumar Suman, conultant VR ASG eye Hospital Jodhpur
- Uploaded on Mar 12, 2024.
- Last modified by Joshua Friedman on Mar 12, 2024.
- Rating
- Appears in
- Miscellaneous
- Condition/keywords
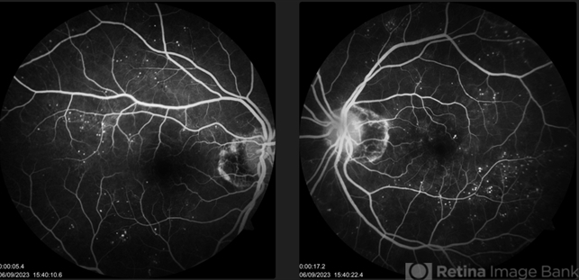
- Diabetic Retinopathy, diabetic macular edema
- Photographer
- Dr. Meenal Soni, Fellow VR, ASG eye Hospital Jodhpur
- Imaging device
- 
                Fundus camera
                
 ZEISS Visucam 400
- Description
- 57 year old female with DOV in BE, known diabetic. OU Multiple microaneurysms and haemorrhages at macula with diabetic macular oedema.

 
        
 Initializing download.
                Initializing download. 
             
             
             
             
             
            ---thumb.jpg/image-square;max$79,0.ImageHandler)