-
By MEENAL SONI
ASG Eye Hospital Jodhpur
Co-author(s): Dr. Pravin Jain consultant and Head; Dr. Pramod K. Suman consultant VR services, ASG eye Hospital, Jodhpur - Uploaded on Mar 12, 2024.
- Last modified by Joshua Friedman on Mar 12, 2024.
- Rating
- Appears in
- Miscellaneous
- Condition/keywords
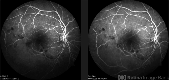
- non-perfused branch retinal vein occlusion (BRVO)
- Photographer
- Dr. Meenal Soni, Fellow VR, ASG eye Hospital Jodhpur
- Imaging device
-
Fundus camera
ZEISS Visucam 400 - Description
- A middle-aged man with idiopathic hypertension presented with old IT BRVO, sclerosed vein on with hemorrhages on fundus examination. FFA reveals delayed filling of vein with pruning of venules resembling buds on tree.

Initializing download.