-
By Anjana Mirajkar, MS Ophthalmology
Retina eye foundation
Co-author(s): Dr. Manish Nagpal-Retina Foundation, Ahmedabad, Dr. Navneet Mehrotra-Retina Foundation, Ahmedabad. - Uploaded on Sep 29, 2023.
- Last modified by Joshua Friedman on Sep 29, 2023.
- Rating
- Appears in
- Miscellaneous
- Condition/keywords
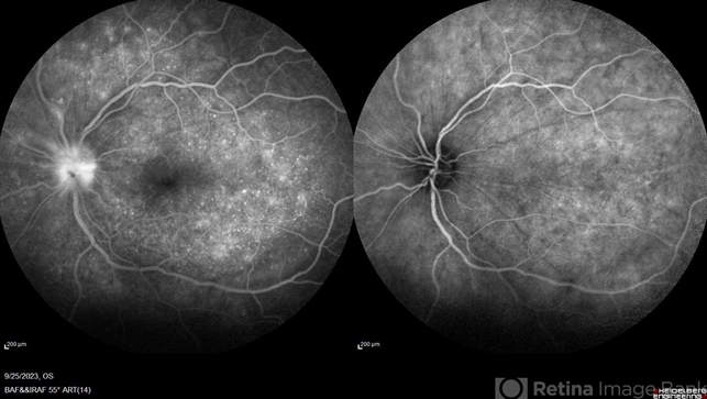
- vkh
- Photographer
- Dr. Anjana Mirajkar -Retina Foundation, Ahmedabad.
- Imaging device
-
Scanning laser ophthalmoscope
Heidelberg - Description
- Late frame of FA+ICG of LE of a 41 year old female showing disc leakage with hyperfluorescence suggestive of leakage with hypofluoroscence on FA and ICG in a case of VKH.

Initializing download.