-
By Marco Antonio Sauza
Co-author(s): MARCO SAUZA CASTILLEJOS - Uploaded on May 1, 2024.
- Last modified by Joshua Friedman on May 2, 2024.
- Rating
- Appears in
- VKH
- Condition/keywords
- vkh, VOGT KOYANAGI HARADA
- Photographer
- MARCO SAUZA CASTILLEJOS
- Imaging device
-
Fundus camera
VISUCAM ZEISS - Description
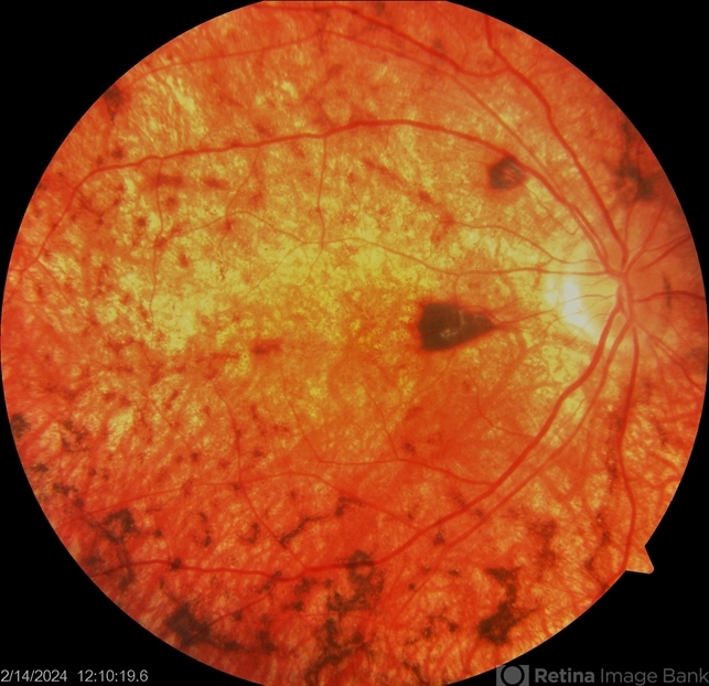
- Fundus photograph of an 30-year-old woman with total serour detachment, the photo was taken after the srf resolution with topical and systemic treatment.

Initializing download.