-
Vogt-Koyanagi-Harada Disease
Dec 13 2019 by McGill University Health Centre
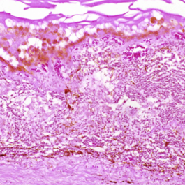
An 45-year-old Asian descendant woman with poliosis and periocular vitiligo. Histopathology shows thickening of the choroid and chronic granulomatous choroiditis involving the choriocapillaris, typical of VKH.
Photographer: Miguel N. Burnier, McGill University Health Center-McGill University Ocular Pathology & Translational Research Laboratory
Imaging device: Zeiss
Condition/keywords: depigmentation of the fundus, histopathology, Vogt-Koyanagi-Harada
-
Vogt-Koyanagi-Harada Disease
Dec 13 2019 by McGill University Health Centre
Fundus photograph of an 45-year-old Asian descendant woman with poliosis and periocular vitiligo. Fundoscopy reveals a large area of depigmentation of the fundus and a retinal detachment .
Photographer: Miguel N. Burnier, McGill University Health Center-McGill University Ocular Pathology & Translational Research Laboratory
Imaging device: Fundoscopy
Condition/keywords: depigmentation of the fundus, Vogt-Koyanagi-Harada
-
Vogt-Koyanagu-Harada (VKH) Disease
May 18 2020 by McGill University Health Centre
VKH disease is an autoimmune condition that causes bilateral chronic granulomatous panuveitis, and extraocular manifestations in the central nervous system, auditory system, and integument. VKH disease is twice as prevalent in women than men, and is believed to be associated with specific human leukocyte antigen (HLA) types, suggesting a possible hereditary component. The exact cause of VKH disease, however, remains unclear. In (A), an enucleation specimen shows a retinal detachment and a scleral buckle (*).
Condition/keywords: scleral buckle, Vogt-Koyanagi-Harada
-
Vogt-Koyanagu-Harada (VKH) Disease
May 18 2020 by McGill University Health Centre
VKH disease is an autoimmune condition that causes bilateral chronic granulomatous panuveitis, and extraocular manifestations in the central nervous system, auditory system, and integument. VKH disease is twice as prevalent in women than men, and is believed to be associated with specific human leukocyte antigen (HLA) types, suggesting a possible hereditary component. The exact cause of VKH disease, however, remains unclear. Image (B) shows several aggregate RPE cells and histiocytes, called Dalen–Fuchs nodules (arrows)
Condition/keywords: Dalen-Fuchs nodules, enucleation, Vogt-Koyanagi-Harada
-
Chronic Vogt-Koyanagu-Harada (VKH) Disease
May 18 2020 by McGill University Health Centre
This enucleation specimen shows complete distortion of the anterior chamber. The iris and the chamber are completely replaced by a whitish mass corresponding to inflammatory exudate. The eye is aphakic and the retina is completely detached from the choroid, although it is attached anteriorly to the mass. Note the proteinaceous exudate beneath the retina (arrowheads).
Condition/keywords: chronic, Vogt-Koyanagi-Harada
