-
By McGill University Health Centre
The MUHC-McGill University
Co-author(s): The MUHC-McGill University Co-author(s): Miguel N. Burnier, Paulina Garcia de Alba Graue McGill University Health Center-McGill University Ocular Pathology & Translational Research Laboratory - Uploaded on Dec 13, 2019.
- Last modified by Caroline Bozell on Dec 13, 2019.
- Rating
- Appears in
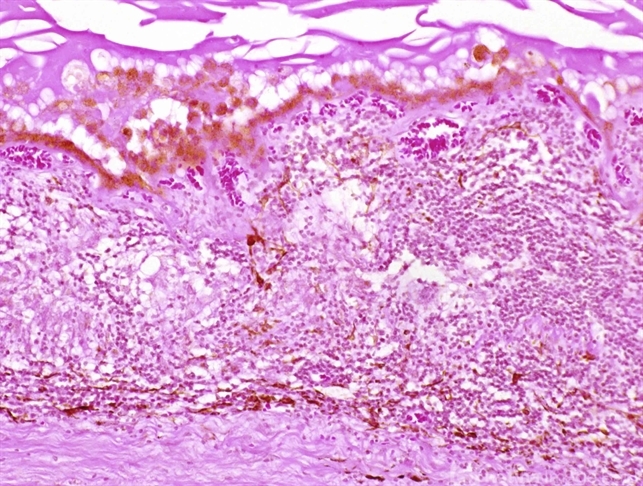
- VogtKoyanagiHarada Disease
- Condition/keywords
- Vogt-Koyanagi-Harada, histopathology, depigmentation of the fundus
- Photographer
- Miguel N. Burnier, McGill University Health Center-McGill University Ocular Pathology & Translational Research Laboratory
- Imaging device
-
Photo slit lamp biomicroscope
Zeiss - Description
- An 45-year-old Asian descendant woman with poliosis and periocular vitiligo. Histopathology shows thickening of the choroid and chronic granulomatous choroiditis involving the choriocapillaris, typical of VKH.

Initializing download.