-
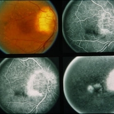
SRNV-MD
Oct 14 2014 by Howard Schatz, MD
88-year-old white male. SRNV-MD. RE 20/100 LE 10/200.
Condition/keywords: subretinal neovascularization (SRNV)
-
SRNV-MD
Oct 14 2014 by Howard Schatz, MD
88-year-old white male. RE 20/50 LE 6/200. SRNV-MD.
Condition/keywords: subretinal neovascularization (SRNV)
-
SRNV-MD
Oct 14 2014 by Howard Schatz, MD
49-year-old white male. SRNV-MD. RE 20/25 LE 20/32.
Condition/keywords: subretinal neovascularization (SRNV)
-
SRNV-MD
Oct 14 2014 by Howard Schatz, MD
49-year-old white male. SRNV-MD. RE 20/20 LE 20/50.
Condition/keywords: subretinal neovascularization (SRNV)
-
SRNV-MD
Oct 14 2014 by Howard Schatz, MD
78-year-old white female. 20/50+2 and 4/200.
Condition/keywords: subretinal neovascularization (SRNV)
-
SRNV-MD
Oct 14 2014 by Howard Schatz, MD
78-year-old white female. 20/50-1 and 5/200. SRNV-MD.
Condition/keywords: subretinal neovascularization (SRNV)
-
SRNV-MD
Oct 14 2014 by Howard Schatz, MD
79-year-old white female. SRNV-MD. RE 20/25 LE 20/200.
Condition/keywords: subretinal neovascularization (SRNV)
-
SRNV-MD
Oct 14 2014 by Howard Schatz, MD
79-year-old white female. SRNV-MD. RE 20/30 LE 20/100.
Condition/keywords: subretinal neovascularization (SRNV)
-
SRNV-MD
Oct 14 2014 by Howard Schatz, MD
79-year-old white female. RE 20/70 LE 5/200. SRNV-MD.
Condition/keywords: subretinal neovascularization (SRNV)
-
SRNV-MD
Oct 14 2014 by Howard Schatz, MD
78-year-old white female. SRNV-MD. RE 20/70 LE 5/200.
Condition/keywords: subretinal neovascularization (SRNV)
-
SRNV-MD
Oct 14 2014 by Howard Schatz, MD
80-year-old white female. SRNV-MD. RE 20/100 LE 20/200.
Condition/keywords: subretinal neovascularization (SRNV)
-
SRNV-MD
Oct 14 2014 by Howard Schatz, MD
80-year-old white female. SRNV-MD. RE 20/100 LE 20/200.
Condition/keywords: subretinal neovascularization (SRNV)
-
SRNV-MD
Oct 14 2014 by Howard Schatz, MD
80-year-old white female. SRNV-MD. RE 20/100 LE 20/100.
Condition/keywords: subretinal neovascularization (SRNV)
-
SRNV-MD
Oct 14 2014 by Howard Schatz, MD
81-year-old white female. SRNV-MD. RE 20/70 LE 20/200.
Condition/keywords: subretinal neovascularization (SRNV)
-
SRNV-MD
Oct 14 2014 by Howard Schatz, MD
68-year-old white female. SRNV-MD. RE 20/80 LE 20/320.
Condition/keywords: subretinal neovascularization (SRNV)
-
SRNV-MD
Oct 14 2014 by Howard Schatz, MD
62-year-old white female. 6 weeks post-laser. SRNV-MD.
Condition/keywords: subretinal neovascularization (SRNV)
-
SRNV-MD
Oct 14 2014 by Howard Schatz, MD
20/30. 10 day post op #2.
Condition/keywords: subretinal neovascularization (SRNV)
-
SRNV-MD
Oct 14 2014 by Howard Schatz, MD
79-year-old white male. 20/100 and 20/200. SRNV-MD.
Condition/keywords: subretinal neovascularization (SRNV)
-
SRNV-MD
Oct 14 2014 by Howard Schatz, MD
20/70+ and 20/100. SRNV-MD.
Condition/keywords: subretinal neovascularization (SRNV)
-
SRNV-MD
Oct 14 2014 by Howard Schatz, MD
70-year-old white female. SRNV-MD. RE 20/20 LE 20/20.
Condition/keywords: subretinal neovascularization (SRNV)
-
SRNV-MD
Oct 14 2014 by Howard Schatz, MD
71-year-old white female. SRNV-MD. RE 20/20 LE 20/30.
Condition/keywords: subretinal neovascularization (SRNV)
-
SRNV-MD
Oct 14 2014 by Howard Schatz, MD
84-year-old white female. SRNV-MD. RE 20/40 LE 20/50.
Condition/keywords: subretinal neovascularization (SRNV)
-
SRNV-MD
Oct 14 2014 by Howard Schatz, MD
75-year-old white male. SRNV-MD.
Condition/keywords: subretinal neovascularization (SRNV)
-
SRNV-MD
Oct 14 2014 by Howard Schatz, MD
76-year-old white male. 20/200 and 20/30. SRNV-MD.
Condition/keywords: subretinal neovascularization (SRNV)
-
SRNV-MD
Oct 14 2014 by Howard Schatz, MD
56-year-old white male. SRNV-PERIPAP. 20/13 and 20/20.
Condition/keywords: subretinal neovascularization (SRNV)
-
SRNV-MD
Oct 14 2014 by Howard Schatz, MD
67-year-old white male. 10/200 and 20/70. SRNV-MD.
Condition/keywords: subretinal neovascularization (SRNV)
-
SRNV-MD
Oct 14 2014 by Howard Schatz, MD
65-year-old white female. 20/20 and 20/20. SRNV-MD.
Condition/keywords: subretinal neovascularization (SRNV)
-
SRNV-MD
Oct 14 2014 by Howard Schatz, MD
65-year-old white female. 20/20 and 20/70. SRNV-MD.
Condition/keywords: subretinal neovascularization (SRNV)
-
SRNV-MD
Oct 14 2014 by Howard Schatz, MD
66-year-old white female. 20/30 and 20/100. SRNV-MD.
Condition/keywords: subretinal neovascularization (SRNV)
-
SRNV-MD
Oct 14 2014 by Howard Schatz, MD
70-year-old white female. SRNV-MD. RE 20/70 LE 10/200.
Condition/keywords: subretinal neovascularization (SRNV)
-
SRNV-MD
Oct 14 2014 by Howard Schatz, MD
70-year-old white female. SRNV-MD. RE 20/200 LE 10/200.
Condition/keywords: subretinal neovascularization (SRNV)
-
SRNV-MD
Oct 14 2014 by Howard Schatz, MD
70-year-old white female. SRNV-MD. RE 20/200 LE 10/200.
Condition/keywords: subretinal neovascularization (SRNV)
-
SRNV-MD
Oct 14 2014 by Howard Schatz, MD
73-year-old white female. SRNV-MD. RE 10/200 LE 10/200.
Condition/keywords: subretinal neovascularization (SRNV)
-
SRNV-MD
Oct 14 2014 by Howard Schatz, MD
74-year-old white female. SRNV-MD. RE 20/50 LE 20/30.
Condition/keywords: subretinal neovascularization (SRNV)
-
SRNV-MD
Oct 14 2014 by Howard Schatz, MD
74-year-old white female. SRNV-MD. RE 20/200 LE 20/30.
Condition/keywords: subretinal neovascularization (SRNV)
-
SRNV-MD
Oct 14 2014 by Howard Schatz, MD
73-year-old white female. RE 20/25 LE 20/30. SRNV-MD.
Condition/keywords: subretinal neovascularization (SRNV)
-
SRNV-MD
Oct 14 2014 by Howard Schatz, MD
78-year-old white female. SRNV-MD. RE 20/30 LE 20/30.
Condition/keywords: subretinal neovascularization (SRNV)
-
SRNV-MD
Oct 14 2014 by Howard Schatz, MD
75-year-old white female. SRNV-PERIPAP. RE 20/30 LE 20/4.
Condition/keywords: subretinal neovascularization (SRNV)
-
SRNV-MD
Oct 14 2014 by Howard Schatz, MD
69-year-old white female. SRNV-MD/ Drusen. RE 20/20 LE 20/40.
Condition/keywords: subretinal neovascularization (SRNV)
-
SRNV-MD
Oct 14 2014 by Howard Schatz, MD
67-year-old white male. SRNV-MD. RE 10/200 LE 20/70.
Condition/keywords: subretinal neovascularization (SRNV)
-
SRNV-MD
Oct 14 2014 by Howard Schatz, MD
68-year-old white male. SRNV-MD. RE 20/200 LE 20/30.
Condition/keywords: subretinal neovascularization (SRNV)
-
SRNV-MD
Oct 14 2014 by Howard Schatz, MD
70-year-old white male. SRNV-MD. RE 20/200 LE 20/50.
Condition/keywords: subretinal neovascularization (SRNV)
-
SRNV-MD
Oct 14 2014 by Howard Schatz, MD
66-year-old white female. SRNV-MD. RE 20/25 LE 20/15.
Condition/keywords: subretinal neovascularization (SRNV)
-
SRNV-MD
Oct 14 2014 by Howard Schatz, MD
66-year-old white female. SRNV-MD. RE 20/40 LE 20/15.
Condition/keywords: subretinal neovascularization (SRNV)
-
SRNV-MD
Oct 14 2014 by Howard Schatz, MD
75-year-old white female. SRNV-MD. RE 5/200 LE 20/50.
Condition/keywords: subretinal neovascularization (SRNV)
-
SRNV-MD
Oct 14 2014 by Howard Schatz, MD
47-year-old white female. SRNV-MD. RE 20/64 LE 20/25.
Condition/keywords: subretinal neovascularization (SRNV)
-
SRNV-MD
-
SRNV-MD
Oct 14 2014 by Howard Schatz, MD
74-year-old white female. SRNV-MD. RE 20/50 LE 20/30.
Condition/keywords: subretinal neovascularization (SRNV)
-
SRNV-MD
Oct 14 2014 by Howard Schatz, MD
75-year-old white female. SRNV-MD. RE 20/200 LE 20/40.
Condition/keywords: subretinal neovascularization (SRNV)
-
SRNV-MD
Oct 14 2014 by Howard Schatz, MD
75-year-old white female. SRNV-MD. RE 20/200 LE 20/40.
Condition/keywords: subretinal neovascularization (SRNV)
-
SRNV-MD
Oct 14 2014 by Howard Schatz, MD
76-year-old white female. RE 20/320 LE 20/50. SRNV-MD.
Condition/keywords: subretinal neovascularization (SRNV)
-
SRNV-MD
Oct 14 2014 by Howard Schatz, MD
20/200. SRNV-MD.
Condition/keywords: subretinal neovascularization (SRNV)
-
SRNV-MD
-
SRNV-MD
-
SRNV-MD
Oct 14 2014 by Howard Schatz, MD
69-year-old white male. 20/40 and 20/40. SRNV-MD.
Condition/keywords: subretinal neovascularization (SRNV)
-
SRNV-MD
Oct 14 2014 by Howard Schatz, MD
70-year-old white male. SRNV-MD. 20/30 and 20/70.
Condition/keywords: subretinal neovascularization (SRNV)
-
SRNV-MD
Oct 14 2014 by Howard Schatz, MD
70-year-old white male. 20/30 and 20/70. SRNV-MD.
Condition/keywords: subretinal neovascularization (SRNV)
-
SRNV-MD
Oct 14 2014 by Howard Schatz, MD
74-year-old white male. SRNV-MD. RE 20/125 LE 10/200.
Condition/keywords: subretinal neovascularization (SRNV)
-
SRNV-MD
Oct 14 2014 by Howard Schatz, MD
74-year-old white male. SRNV-MD. RE 20/32 LE 20/128.
Condition/keywords: subretinal neovascularization (SRNV)
-
SRNV-MD
Oct 14 2014 by Howard Schatz, MD
74-year-old white male. SRNV-MD. RE 20/80 LE 20/320.
Condition/keywords: subretinal neovascularization (SRNV)
-
SRNV-MD
Oct 14 2014 by Howard Schatz, MD
74-year-old white male. SRNV-MD. 20/200 OU.
Condition/keywords: subretinal neovascularization (SRNV)
-
SRNV-MD
Oct 14 2014 by Howard Schatz, MD
20/30. SRNV-MD.
Condition/keywords: subretinal neovascularization (SRNV)
-
SRNV-MD
Oct 14 2014 by Howard Schatz, MD
75-year-old white male. SRNV-MD. RE 20/200 LE 10/200.
Condition/keywords: subretinal neovascularization (SRNV)
-
SRNV-MD
Oct 14 2014 by Howard Schatz, MD
75-year-old white male. SRNV-MD. RE 20/250. LE 7/200.
Condition/keywords: subretinal neovascularization (SRNV)
-
SRNV-MD
Oct 14 2014 by Howard Schatz, MD
SRNV-MD. 20/30.
Condition/keywords: subretinal neovascularization (SRNV)
-
SRNV-MD
Oct 14 2014 by Howard Schatz, MD
70-year-old white female. SRNV-MD. 20/30.
Condition/keywords: subretinal neovascularization (SRNV)
-
SRNV-MD
Oct 14 2014 by Howard Schatz, MD
61-year-old white male. 20/40 and 7/200. SRNV-MD.
Condition/keywords: subretinal neovascularization (SRNV)
-
SRNV-MD
Oct 16 2014 by Howard Schatz, MD
76-year-old white male. SRNV-MD. RE 20/40 LE 10/100.
Condition/keywords: subretinal neovascularization (SRNV)
-
SRNV-MD
Oct 16 2014 by Howard Schatz, MD
76-year-old white male. SRNV-MD. RE 20/30 LE 10/200.
Condition/keywords: subretinal neovascularization (SRNV)
-
SRNV-MD
Oct 16 2014 by Howard Schatz, MD
78-year-old white male. SRNV-MD. RE 20/30 LE 20/200.
Condition/keywords: subretinal neovascularization (SRNV)
-
SRNV-MD
Oct 16 2014 by Howard Schatz, MD
57-year-old white male. SRNV-MD. RE 20/32 LE 20/50.
Condition/keywords: subretinal neovascularization (SRNV)
-
SRNV-MD
-
SRNV-MD
Oct 16 2014 by Howard Schatz, MD
59-year-old white male. SRNV-MD. 20/200 and 4/200.
Condition/keywords: subretinal neovascularization (SRNV)
-
SRNV-MD
Oct 16 2014 by Howard Schatz, MD
20/200 and 6/200. SRNV-MD.
Condition/keywords: subretinal neovascularization (SRNV)
-
SRNV-MD
Oct 16 2014 by Howard Schatz, MD
59-year-old white male. SRNV-MD. 20/100 and 4/200.
Condition/keywords: subretinal neovascularization (SRNV)
-
SRNV-MD
Oct 16 2014 by Howard Schatz, MD
71-year-old white male. SRNV-MD. 20/50- and 4/200.
Condition/keywords: subretinal neovascularization (SRNV)
-
SRNV-MD
Oct 16 2014 by Howard Schatz, MD
75-year-old white male. SRNV-MD. RE 20/32 LE 20/50.
Condition/keywords: subretinal neovascularization (SRNV)
-
SRNV-MD
Oct 16 2014 by Howard Schatz, MD
75-year-old white female. SRNV-MD. RE 20/25 LE 20/50.
Condition/keywords: subretinal neovascularization (SRNV)
-
SRNV-MD
Oct 16 2014 by Howard Schatz, MD
76-year-old white male. SRNV-MD. RE 20/25 LE 20/40.
Condition/keywords: subretinal neovascularization (SRNV)
-
SRNV-MD
Oct 16 2014 by Howard Schatz, MD
76-year-old white male. SRNV-MD. RE 20/32 LE 20/40.
Condition/keywords: subretinal neovascularization (SRNV)
-
SRNV-MD
Oct 16 2014 by Howard Schatz, MD
77-year-old white male. SRNV-MD. RE 20/80 LE 20/200.
Condition/keywords: subretinal neovascularization (SRNV)
-
SRNV-MD
Oct 16 2014 by Howard Schatz, MD
78-year-old white male. SRNV-MD. 20/80 OU.
Condition/keywords: subretinal neovascularization (SRNV)
-
SRNV-MD
Oct 16 2014 by Howard Schatz, MD
78-year-old white male. SRNV-MD. 20/80 OU.
Condition/keywords: subretinal neovascularization (SRNV)
-
SRNV-MD
Oct 16 2014 by Howard Schatz, MD
78-year-old white male. SRNV-MD. RE 20/80 LE 20/63.
Condition/keywords: subretinal neovascularization (SRNV)
-
SRNV-MD
Oct 16 2014 by Howard Schatz, MD
78-year-old white male. SRNV-MD. RE 20/100 LE 20/80.
Condition/keywords: subretinal neovascularization (SRNV)
-
SRNV-MD
Oct 16 2014 by Howard Schatz, MD
66-year-old white female. SRNV-MD. RE 20/80 LE 20/32.
Condition/keywords: subretinal neovascularization (SRNV)
-
SRNV-MD
Oct 16 2014 by Howard Schatz, MD
66-year-old white female. SRNV-MD. RE 20/50 LE 20/32.
Condition/keywords: subretinal neovascularization (SRNV)
-
SRNV-MD
-
SRNV-MD
-
SRNV-MD
-
SRNV-MD
Oct 16 2014 by Howard Schatz, MD
59-year-old white male. SRNV-MD. 20/20.
Condition/keywords: subretinal neovascularization (SRNV)
-
SRNV-MD
Oct 16 2014 by Howard Schatz, MD
60-year-old white male. SRNV-MD.
Condition/keywords: subretinal neovascularization (SRNV)
-
SRNV-MD
Oct 16 2014 by Howard Schatz, MD
8 day post laser. SRNV-MD.
Condition/keywords: subretinal neovascularization (SRNV)
-
SRNV-MD
Oct 16 2014 by Howard Schatz, MD
79-year-old white female. SRNV-MD. RE 20/50 LE 20/25.
Condition/keywords: subretinal neovascularization (SRNV)
-
SRNV-MD
Oct 16 2014 by Howard Schatz, MD
79-year-old white female. SRNV-MD. RE 20/63 LE 20/25.
Condition/keywords: subretinal neovascularization (SRNV)
-
SRNV-MD
Oct 16 2014 by Howard Schatz, MD
79-year-old white female. SRNV-MD. RE 20/100 LE 20/32.
Condition/keywords: subretinal neovascularization (SRNV)
-
SRNV-MD
Oct 16 2014 by Howard Schatz, MD
79-year-old white female. SRNV-MD. RE 20/100 LE 20/40.
Condition/keywords: subretinal neovascularization (SRNV)
-
SRNV-MD
Oct 16 2014 by Howard Schatz, MD
79-year-old white female. SRNV-MD. RE 20/80 LE 20/.
Condition/keywords: subretinal neovascularization (SRNV)
-
SRNV-MD
Oct 16 2014 by Howard Schatz, MD
79-year-old white female. SRNV-MD. RE 20/160 LE 20/25.
Condition/keywords: subretinal neovascularization (SRNV)
-
SRNV-MD
Oct 16 2014 by Howard Schatz, MD
75-year-old white female. SRNV-MD. 10/2.. and 20/...
Condition/keywords: subretinal neovascularization (SRNV)
-
SRNV-MD
Oct 16 2014 by Howard Schatz, MD
75-year-old white female. SRNV-MD. 20/200 and 20/70.
Condition/keywords: subretinal neovascularization (SRNV)
-
SRNV-MD
Oct 16 2014 by Howard Schatz, MD
65-year-old white female. SRNV-MD. 20/50 and 20/100.
Condition/keywords: subretinal neovascularization (SRNV)
-
SRNV-MD
Oct 16 2014 by Howard Schatz, MD
65-year-old white female. SRNV-MD. 20/100 and 20/100.
Condition/keywords: subretinal neovascularization (SRNV)
-
SRNV-MD
Oct 16 2014 by Howard Schatz, MD
65-year-old white female. SRNV-MD. 10/200 and 20/100.
Condition/keywords: subretinal neovascularization (SRNV)
-
SRNV-MD
-
SRNV-MD
-
SRNV-MD
Oct 16 2014 by Howard Schatz, MD
73-year-old white male. SRNV-MD/ PED. RE 20/15 LE 20/200.
Condition/keywords: subretinal neovascularization (SRNV)
-
SRNV-MD
Oct 16 2014 by Howard Schatz, MD
54-year-old black female. SRNV-MD. RE 10/200 LE 20/50.
Condition/keywords: subretinal neovascularization (SRNV)
-
SRNV-MD
Oct 16 2014 by Howard Schatz, MD
54-year-old black female. SRNV-MD. RE 10/200 LE 20/40.
Condition/keywords: subretinal neovascularization (SRNV)
-
SRNV-MD
Oct 16 2014 by Howard Schatz, MD
58-year-old black female. SRNV-MD. RE 10/200 LE 20/30.
Condition/keywords: subretinal neovascularization (SRNV)
-
SRNV-MD
Oct 16 2014 by Howard Schatz, MD
56-year-old black female. SRNV-MD. RE 8/200 LE 20/40.
Condition/keywords: subretinal neovascularization (SRNV)
-
SRNV-MD
-
SRNV-MD
Oct 16 2014 by Howard Schatz, MD
74-year-old white male. SRNV-MD. LF 1' and 20/50.
Condition/keywords: subretinal neovascularization (SRNV)
-
SRNV-MD
Oct 16 2014 by Howard Schatz, MD
75-year-old white male. SRNV-MD.
Condition/keywords: subretinal neovascularization (SRNV)
-
SRNV-MD
Oct 16 2014 by Howard Schatz, MD
75-year-old white male. SRNV-MD. LF 1' and 20/70.
Condition/keywords: subretinal neovascularization (SRNV)
-
SRNV-MD
Oct 16 2014 by Howard Schatz, MD
59-year-old white female. SRNV-MD. RE 20/160 LE 20/25.
Condition/keywords: subretinal neovascularization (SRNV)
-
SRNV-MD
Oct 16 2014 by Howard Schatz, MD
70-year-old white female. SRNV-MD. RE 20/50 LE 20/25.
Condition/keywords: subretinal neovascularization (SRNV)
-
SRNV-MD
Oct 16 2014 by Howard Schatz, MD
80-year-old white male. SRNV-MD. RE 8/200 LE 20/80.
Condition/keywords: subretinal neovascularization (SRNV)
-
SRNV-MD
Oct 16 2014 by Howard Schatz, MD
80-year-old white male. SRNV-MD. RE 5' 200 LE 20/64.
Condition/keywords: subretinal neovascularization (SRNV)
-
SRNV-MD
Oct 16 2014 by Howard Schatz, MD
80-year-old white male. SRNV-MD. RE 2'/200 LE 20/64.
Condition/keywords: subretinal neovascularization (SRNV)
-
SRNV-MD
Oct 16 2014 by Howard Schatz, MD
70-year-old white female. SRNV-MD. 2-3 week post op.
Condition/keywords: subretinal neovascularization (SRNV)
-
SRNV-MD
Oct 16 2014 by Howard Schatz, MD
78-year-old white female. SRNV-MD. RE 20/30 LE 20/20.
Condition/keywords: subretinal neovascularization (SRNV)
-
SRNV-MD
Oct 16 2014 by Howard Schatz, MD
78-year-old white female. SRNV-MD . RE 20/50 LE 20/20.
Condition/keywords: subretinal neovascularization (SRNV)
-
SRNV-MD
Oct 16 2014 by Howard Schatz, MD
78-year-old white female. RE 20/ 100. LE 20/25. SRNV-MD.
Condition/keywords: subretinal neovascularization (SRNV)
-
SRNV-MD
Oct 16 2014 by Howard Schatz, MD
78-year-old white female. SRNV-MD. RE 20/80 LE 20/40.
Condition/keywords: subretinal neovascularization (SRNV)
-
SRNV-MD
Oct 16 2014 by Howard Schatz, MD
79-year-old white female. SRNV-MD. RE 20/128 LE 20/25.
Condition/keywords: subretinal neovascularization (SRNV)
-
SRNV-MD
Oct 16 2014 by Howard Schatz, MD
64-year-old white female. SRNV-MD. RE 20/100 LE 20/25.
Condition/keywords: subretinal neovascularization (SRNV)
-
SRNV-MD
Oct 16 2014 by Howard Schatz, MD
65-year-old white female. SRNV-MD. RE 20/100 LE 20/25.
Condition/keywords: subretinal neovascularization (SRNV)
-
SRNV-MD
Oct 16 2014 by Howard Schatz, MD
65-year-old white female. SRNV-MD. RE 20/100 LE 20/40.
Condition/keywords: subretinal neovascularization (SRNV)
-
SRNV-MD
Oct 16 2014 by Howard Schatz, MD
66-year-old white female. SRNV-MD. RE 20/200 LE 20/100.
Condition/keywords: subretinal neovascularization (SRNV)
-
SRNV-MD
Oct 16 2014 by Howard Schatz, MD
66-year-old white female. SRNV-MD. RE 10/200 LE 20/100.
Condition/keywords: subretinal neovascularization (SRNV)
-
SRNV-MD
Oct 16 2014 by Howard Schatz, MD
65-year-old white female. SRNV-MD. RE 20/200. LE 20/100.
Condition/keywords: subretinal neovascularization (SRNV)
-
SRNV-MD
Oct 16 2014 by Howard Schatz, MD
66-year-old white female. SRNV-MD. 20/100 OU.
Condition/keywords: subretinal neovascularization (SRNV)
-
SRNV-MD
Oct 16 2014 by Howard Schatz, MD
Post op #2. SRNV-MD.
Condition/keywords: subretinal neovascularization (SRNV)
-
SRNV-MD
Oct 16 2014 by Howard Schatz, MD
61-year-old white female. SRNV-MD. RE 3/200 LE 20/40.
Condition/keywords: subretinal neovascularization (SRNV)
-
SRNV-MD
Oct 16 2014 by Howard Schatz, MD
61-year-old white female. SRNV-MYOPE. RE 20/250 LE 20/40.
Condition/keywords: subretinal neovascularization (SRNV)
-
SRNV-MD
Oct 16 2014 by Howard Schatz, MD
77-year-old white female. RE 20/100 HM. SRNV-MD.
Condition/keywords: subretinal neovascularization (SRNV)
-
SRNV-MD
Oct 16 2014 by Howard Schatz, MD
77-year-old white female. SRNV-MD. RE 20/100 HM2'.
Condition/keywords: central serous retinopathy (CSR)
-
SRNV-MD
Oct 16 2014 by Howard Schatz, MD
77-year-olw white female. SRNV-MD. RE 20/100 LE 3/200.
Condition/keywords: subretinal neovascularization (SRNV)
-
SRNV-MD
Oct 16 2014 by Howard Schatz, MD
78-year-old white female. SRNV-MD. RE 20/320 LE 10/200.
Condition/keywords: subretinal neovascularization (SRNV)
-
SRNV-MD
Oct 16 2014 by Howard Schatz, MD
79-year-old white female. SRNV-MD. 9'/200 OU.
Condition/keywords: subretinal neovascularization (SRNV)
-
SRNV-MD
Oct 16 2014 by Howard Schatz, MD
79-year-old white female. SRNV-MD. 9'/200 OU.
Condition/keywords: subretinal neovascularization (SRNV)
-
SRNV-MD
Oct 16 2014 by Howard Schatz, MD
71-year-old white female. SRNV-MD. RE 20/320 LE 20/32.
Condition/keywords: subretinal neovascularization (SRNV)
-
SRNV-MD
Oct 16 2014 by Howard Schatz, MD
71-year-old white female. SRNV-MD. RE 20/320 LE 20/32.
Condition/keywords: subretinal neovascularization (SRNV)
-
SRNV-MD
Oct 16 2014 by Howard Schatz, MD
20/40 and 20/60. SRNV-MD.
Condition/keywords: subretinal neovascularization (SRNV)
-
SRNV-MD
Oct 16 2014 by Howard Schatz, MD
59-year-old white female. 20/30 OU. SRNV-MD.
Condition/keywords: subretinal neovascularization (SRNV)
-
SRNV-MD
Oct 16 2014 by Howard Schatz, MD
66-year-old white male. SRNV-MD. 20/30 and 20/20.
Condition/keywords: subretinal neovascularization (SRNV)
-
SRNV-MD
Oct 16 2014 by Howard Schatz, MD
66-year-old white male. SRNV-MD. 20/30 and 20/25.
Condition/keywords: subretinal neovascularization (SRNV)
-
SRNV-MD
Oct 16 2014 by Howard Schatz, MD
Only eye. 10/200. SRNV-MD.
Condition/keywords: subretinal neovascularization (SRNV)
-
SRNV-MD
Oct 16 2014 by Howard Schatz, MD
84-year-old white female. SRNV-MD.
Condition/keywords: subretinal neovascularization (SRNV)
-
SRNV-MD
Oct 16 2014 by Howard Schatz, MD
86-year-old white female. SRNV-MD.
Condition/keywords: subretinal neovascularization (SRNV)
-
SRNV-MD
Oct 16 2014 by Howard Schatz, MD
74-year-old white male. SRNV-MD. 20/20-2 and 10/200.
Condition/keywords: subretinal neovascularization (SRNV)
-
SRNV-MD
Oct 16 2014 by Howard Schatz, MD
78-year-old white female. SRNV-MD. RE 20/64 LE 20/40.
Condition/keywords: subretinal neovascularization (SRNV)
-
SRNV-MD
Oct 16 2014 by Howard Schatz, MD
78-year-old white female. SRNV-MD. RE 20/64 LE 20/32.
Condition/keywords: subretinal neovascularization (SRNV)
-
SRNV-MD
-
SRNV-MD
Oct 16 2014 by Howard Schatz, MD
80-year-old white male. SRNV-MD. RE 20/200 LE 20/50.
Condition/keywords: subretinal neovascularization (SRNV)
-
SRNV-MD
Oct 16 2014 by Howard Schatz, MD
80-year-old white male. SRNV-MD RE 20/200 LE 20/50.
Condition/keywords: subretinal neovascularization (SRNV)
-
SRNV-MD
Oct 16 2014 by Howard Schatz, MD
80-year-old white male. SRNV-MD. RE 20/128 LE 20/50.
Condition/keywords: subretinal neovascularization (SRNV)
-
SRNV-MD
Oct 16 2014 by Howard Schatz, MD
82-year-old white male. SRNV-MD RE 20/200 LE 20/63.
Condition/keywords: subretinal neovascularization (SRNV)
-
SRNV-MD
-
SRNV-MD
Oct 16 2014 by Howard Schatz, MD
76-year-old white female. SRNV-MD. 20/200 and 8/200.
Condition/keywords: subretinal neovascularization (SRNV)
-
SRNV-MD
Oct 16 2014 by Howard Schatz, MD
72-year-old white female. SRNV-MD. 20/100 and 3/200.
Condition/keywords: subretinal neovascularization (SRNV)
-
SRNV-MD
Oct 16 2014 by Howard Schatz, MD
69-year-ole white male. SRNV-MD.
Condition/keywords: subretinal neovascularization (SRNV)
-
SRNV-MD
-
SRNV-MD
-
SRNV-MD
Oct 16 2014 by Howard Schatz, MD
79-year-old white female. SRNV-MD. RE 20/40 LE 20/30.
Condition/keywords: subretinal neovascularization (SRNV)
-
SRNV-MD
Oct 16 2014 by Howard Schatz, MD
66-year-old white male. SRNV-MD. 10/200 OU.
Condition/keywords: subretinal neovascularization (SRNV)
-
SRNV-MD
Oct 21 2014 by Howard Schatz, MD
49-year-old male. SRNV-MD.
Condition/keywords: subretinal neovascularization (SRNV)
-
SRNV-MD
-
SRNV-MD
Oct 21 2014 by Howard Schatz, MD
73-year-old white female. SRNV-MD. 10/200 and 10/200.
Condition/keywords: subretinal neovascularization (SRNV)
-
SRNV-MD
Oct 23 2014 by Howard Schatz, MD
24-year-old female. SRNV-MD.
Condition/keywords: subretinal neovascularization (SRNV)
-
SRNV-MD
Oct 23 2014 by Howard Schatz, MD
73-year-old female. SRNV-MD. 10/200 and 10/200.
Condition/keywords: subretinal neovascularization (SRNV)
-
SRNV-MD
Oct 23 2014 by Howard Schatz, MD
SRNV-MD periph.
Condition/keywords: subretinal neovascularization (SRNV)
-
SRNV-MD
Oct 23 2014 by Howard Schatz, MD
75-year-old female. SRNV-MD. RE 20/20 LE 20/30.
Condition/keywords: subretinal neovascularization (SRNV)
-
SRNV-MD
Oct 23 2014 by Howard Schatz, MD
71-year-old white male. SRNV-MD. RE 20/40 LE 20/200.
Condition/keywords: subretinal neovascularization (SRNV)
-
SRNV-MD
Oct 23 2014 by Howard Schatz, MD
71-year-old white male. SRNV-MD. RE 20/50 LE 20/200.
Condition/keywords: subretinal neovascularization (SRNV)
-
SRNV-MD
Oct 23 2014 by Howard Schatz, MD
71-year-old white male. SRNV-MD. RE 20/30 LE 10/200.
Condition/keywords: subretinal neovascularization (SRNV)
-
SRNV-MD
Oct 23 2014 by Howard Schatz, MD
71-year-old white male. SRNV-MD. RE 20/40 LE 10/200.
Condition/keywords: subretinal neovascularization (SRNV)
-
SRNV-MD
Oct 23 2014 by Howard Schatz, MD
71-year-old white male. SRNV-MD. RE 20/40 LE 10/200.
Condition/keywords: subretinal neovascularization (SRNV)
-
SRNV-MD
Oct 23 2014 by Howard Schatz, MD
71-year-old white male. SRNV-MD. RE 20/200 LE 10/200.
Condition/keywords: subretinal neovascularization (SRNV)
-
SRNV-MD
Oct 23 2014 by Howard Schatz, MD
72-year-old white male. SRNV-MD. RE 20/200 LE 10/200.
Condition/keywords: subretinal neovascularization (SRNV)
-
SRNV-MD
Oct 23 2014 by Howard Schatz, MD
71-year-old white male. SRNV-MD. RE 20/200 LE 20/200.
Condition/keywords: subretinal neovascularization (SRNV)
-
SRNV-MD
Oct 23 2014 by Howard Schatz, MD
71-year-old white male. SRNV-MD. RE 20/200 LE 20/200.
Condition/keywords: subretinal neovascularization (SRNV)
-
SRNV-MD
Oct 23 2014 by Howard Schatz, MD
72-year-old white male. SRNV-MD. RE 20/50 LE 20/100.
Condition/keywords: subretinal neovascularization (SRNV)
-
SRNV-MD
Oct 23 2014 by Howard Schatz, MD
73-year-old white male. SRNV-MD. RE 20/200 LE 20/200.
Condition/keywords: subretinal neovascularization (SRNV)
-
SRNV-MD
-
SRNV-MD
Oct 23 2014 by Howard Schatz, MD
67-year-old white female. SRNV-MD. 20/30 and 20/30.
Condition/keywords: subretinal neovascularization (SRNV)
-
SRNV-MD
Oct 23 2014 by Howard Schatz, MD
83-year-old white female. SRNV-MD.
Condition/keywords: subretinal neovascularization (SRNV)
-
SRNV-MD
-
SRNV-MD
Oct 23 2014 by Howard Schatz, MD
86-year-old white male. SRNV-MD. 20/70.
Condition/keywords: subretinal neovascularization (SRNV)
-
SRNV-MD
Oct 23 2014 by Howard Schatz, MD
86-year-old white male. SRNV-MD.
Condition/keywords: subretinal neovascularization (SRNV)
-
SRNV-MD
Oct 23 2014 by Howard Schatz, MD
77-year-old white female. RE 20/40 LE 20/300.
Condition/keywords: subretinal neovascularization (SRNV)
-
SRNV-MD
Oct 23 2014 by Howard Schatz, MD
72-year-old white female. SRNV-MD. HM 5' and 20/200.
Condition/keywords: subretinal neovascularization (SRNV)
-
SRNV-MD
Oct 23 2014 by Howard Schatz, MD
78-year-old white female. RE 3/200 LE 20/80.
Condition/keywords: subretinal neovascularization (SRNV)
-
SRNV-MD
Oct 23 2014 by Howard Schatz, MD
78-year-old white female. SRNV-MD/ PE Folds. RE 2'/200 LE 20/100.
Condition/keywords: subretinal neovascularization (SRNV)
-
SRNV-MD
Oct 23 2014 by Howard Schatz, MD
79-year-old white female. PE Folds. RE 3/200 LE 20/100.
Condition/keywords: subretinal neovascularization (SRNV)
-
SRNV-MD
Oct 23 2014 by Howard Schatz, MD
79-year-old white female. SRNV-MD. RE 3/200 LE 20/100.
Condition/keywords: subretinal neovascularization (SRNV)
-
SRNV-MD
Oct 23 2014 by Howard Schatz, MD
80-year-old white female. SRNV-MD.
Condition/keywords: subretinal neovascularization (SRNV)
-
SRNV-MD
Oct 23 2014 by Howard Schatz, MD
72-year-old white female. SRNV-MD. 20/40 and 20/30-1.
Condition/keywords: subretinal neovascularization (SRNV)
-
SRNV-MD
Oct 23 2014 by Howard Schatz, MD
72-year-old white female. SRNV-MD. 20/40 and 20/30-1.
Condition/keywords: subretinal neovascularization (SRNV)
-
SRNV-MD
Oct 23 2014 by Howard Schatz, MD
72-year-old white female. SRNV-MD. 4/200 and 20/40-.
Condition/keywords: subretinal neovascularization (SRNV)
-
SRNV-MD
Oct 23 2014 by Howard Schatz, MD
73-year-old white male. SRNV-MD. RE 10/200 LE 20/100.
Condition/keywords: subretinal neovascularization (SRNV)
-
SRNV-MD
Oct 23 2014 by Howard Schatz, MD
74-year-old white male. SRNV-MD. RE 10/200 LE 20/80.
Condition/keywords: subretinal neovascularization (SRNV)
-
SRNV-MD
Oct 23 2014 by Howard Schatz, MD
72-year-old white female. SRNV-MD. Re 20/50 LE 20/20.
Condition/keywords: subretinal neovascularization (SRNV)
-
SRNV-MD
Oct 23 2014 by Howard Schatz, MD
75-year-old white female. SRNV-MD. RE 20/50 LE 20/20.
Condition/keywords: subretinal neovascularization (SRNV)
-
SRNV-MD
Oct 23 2014 by Howard Schatz, MD
75-year-old white female. SRNV-MD. RE 8/200 LE 20/25.
Condition/keywords: subretinal neovascularization (SRNV)
-
SRNV-MD
Oct 23 2014 by Howard Schatz, MD
61-year-old white male. SRNV-MD. RE 20/15 LE 20/40.
Condition/keywords: subretinal neovascularization (SRNV)
-
SRNV-MD
Oct 23 2014 by Howard Schatz, MD
61-year-old white male. SRNV-MD. RE 20/15 LE 20/40.
Condition/keywords: subretinal neovascularization (SRNV)
-
SRNV-MD
Oct 23 2014 by Howard Schatz, MD
74-year-old white female. SRNV-MD. RE 10/200 LE 20/250.
Condition/keywords: subretinal neovascularization (SRNV)
-
SRNV-MD
Oct 23 2014 by Howard Schatz, MD
76-year-old white female. SRNV-MD. 20/250 OU.
Condition/keywords: subretinal neovascularization (SRNV)
-
SRNV-MD
-
SRNV-MD
Oct 23 2014 by Howard Schatz, MD
82-year-old white female. SRNV-MD.
Condition/keywords: subretinal neovascularization (SRNV)
-
SRNV-MD
Oct 23 2014 by Howard Schatz, MD
82-year-old white female. SRNV-MD.
Condition/keywords: subretinal neovascularization (SRNV)
-
SRNV-MD
Oct 23 2014 by Howard Schatz, MD
82-year-old white female. SRNV-MD. 20/50 and 10/200.
Condition/keywords: subretinal neovascularization (SRNV)
-
SRNV-MD
Oct 23 2014 by Howard Schatz, MD
71-year-old white female. SRNV-MD. 20/50- and 1/200.
Condition/keywords: subretinal neovascularization (SRNV)
-
SRNV-MD
-
SRNV-MD
Oct 23 2014 by Howard Schatz, MD
80-year-old white female. SRNV-MD. 20/200.
Condition/keywords: subretinal neovascularization (SRNV)
-
SRNV-MD
Oct 23 2014 by Howard Schatz, MD
Rx'd SRNV-MD 3 months post op.
Condition/keywords: subretinal neovascularization (SRNV)
-
SRNV-MD
Oct 23 2014 by Howard Schatz, MD
80-year-old white female. SRNV-MD. 6/200 and 10/200.
Condition/keywords: subretinal neovascularization (SRNV)
-
SRNV-MD
Oct 23 2014 by Howard Schatz, MD
80-year-old white female. SRNV-MD. 4/200 and 20/200.
Condition/keywords: subretinal neovascularization (SRNV)
-
SRNV-MD
Oct 28 2014 by Howard Schatz, MD
81-82-year old white female. SRNV-MD. 3/200 and 20/80.
Condition/keywords: subretinal neovascularization (SRNV)
-
SRNV-MD
Oct 28 2014 by Howard Schatz, MD
57-year-old white female. SRNV-MD. 20/20 OU.
Condition/keywords: subretinal neovascularization (SRNV)
-
SRNV-MD
Oct 28 2014 by Howard Schatz, MD
59-year-old white female. SRNV-MD. RE 20/20 LE 20/32.
Condition/keywords: subretinal neovascularization (SRNV)
-
SRNV-MD
Oct 28 2014 by Howard Schatz, MD
59-year-old white female. SRNV-MD. RE 20/14 LE 20/32.
Condition/keywords: subretinal neovascularization (SRNV)
-
SRNV-MD
Oct 28 2014 by Howard Schatz, MD
59-year-old white female. SRNV-MD. 20/16 OU.
Condition/keywords: subretinal neovascularization (SRNV)
-
SRNV-MD
Oct 28 2014 by Howard Schatz, MD
79-year-old female. SRNV-MD.
Condition/keywords: subretinal neovascularization (SRNV)
-
SRNV-MD
Oct 28 2014 by Howard Schatz, MD
79-year-old white female. 20/100. SRNV-MD.
Condition/keywords: subretinal neovascularization (SRNV)
-
SRNV-MD
Oct 28 2014 by Howard Schatz, MD
79-year-old white female. SRNV-MD. 20/100.
Condition/keywords: subretinal neovascularization (SRNV)
-
SRNV-MD
Oct 28 2014 by Howard Schatz, MD
79-year-old white female. SRNV-MD. 3/200.
Condition/keywords: subretinal neovascularization (SRNV)
-
SRNV-MD
-
SRNV-MD
Oct 28 2014 by Howard Schatz, MD
71-year-old white female. SRNV-MD. RE 5/200 LE 20/40.
Condition/keywords: subretinal neovascularization (SRNV)
-
SRNV-MD
Oct 28 2014 by Howard Schatz, MD
79-year-old white female. SRNV-MD. 2/200 and 20/100-. SRNV-MD.
Condition/keywords: subretinal neovascularization (SRNV)
-
SRNV-MD
Oct 28 2014 by Howard Schatz, MD
74-year-old white female. SRNV-MD. 7/200 and 20/7-1. SRNV-MD.
Condition/keywords: subretinal neovascularization (SRNV)
-
SRNV-MD
Oct 28 2014 by Howard Schatz, MD
79-year-old white female. SRNV-MD. 2/200 and 20/100.
Condition/keywords: subretinal neovascularization (SRNV)
-
SRNV-MD
Oct 28 2014 by Howard Schatz, MD
88-year-old white female. SRNV-MD. 6/200 and 20/70.
Condition/keywords: subretinal neovascularization (SRNV)
-
SRNV-MD
Oct 28 2014 by Howard Schatz, MD
64-year-old white female. SRNV-MD. 20/70. Rx' and flattened PED.
Condition/keywords: subretinal neovascularization (SRNV)
-
SRNV-MD
Oct 28 2014 by Howard Schatz, MD
SRNV-MD. 20/200.
Condition/keywords: subretinal neovascularization (SRNV)
-
SRNV-MD
Oct 28 2014 by Howard Schatz, MD
58-year-old white male. SRNV-MD. RE 20/50 LE 20/20.
Condition/keywords: subretinal neovascularization (SRNV)
-
SRNV-MD
Oct 28 2014 by Howard Schatz, MD
71-year-old white female. SRNV-MD. 10/200 and 10/200.
Condition/keywords: subretinal neovascularization (SRNV)
-
SRNV-MD
Oct 28 2014 by Howard Schatz, MD
79-year-old white female. SRNV-MD. RE 20/100 LE 20/200.
Condition/keywords: subretinal neovascularization (SRNV)
-
SRNV-MD
Oct 28 2014 by Howard Schatz, MD
79-year-old white male. SRNV-MD. RE 20/70 LE 20/100.
Condition/keywords: subretinal neovascularization (SRNV)
-
SRNV-MD
Oct 28 2014 by Howard Schatz, MD
82-year-old white male. SRNV-MD. RE 20/50 LE 4/200.
Condition/keywords: subretinal neovascularization (SRNV)
-
SRNV-MD
Oct 28 2014 by Howard Schatz, MD
83-year-old white male. SRNV-MD. RE 20/50 CF 3'.
Condition/keywords: subretinal neovascularization (SRNV)
-
SRNV-MD
Oct 28 2014 by Howard Schatz, MD
83-year-old white male. SRNV-MD. RE 20/50 CF 2'.
Condition/keywords: subretinal neovascularization (SRNV)
-
SRNV-MD
-
SRNV-MD
Oct 28 2014 by Howard Schatz, MD
71-year-old white female. SRNV-MD. 20/70.
Condition/keywords: subretinal neovascularization (SRNV)
-
SRNV-MD
Oct 28 2014 by Howard Schatz, MD
65-year-old white female. SRNV-MD. Drusen/ PED. RE 20/20 LE 20/30.
Condition/keywords: subretinal neovascularization (SRNV)
-
SRNV-MD
Oct 28 2014 by Howard Schatz, MD
70-year-old white female. SRNV-MD/ PED. RE 20/20 LE 20/40.
Condition/keywords: subretinal neovascularization (SRNV)
-
SRNV-MD
Oct 28 2014 by Howard Schatz, MD
71-year-old white female. SRNV-MD. RE 20/25 LE 20/50.
Condition/keywords: subretinal neovascularization (SRNV)
-
SRNV-MD
Oct 28 2014 by Howard Schatz, MD
69-year-old white male. SRNV-MD. 10/200 and 20/50.
Condition/keywords: subretinal neovascularization (SRNV)
-
SRNV-MD
Oct 28 2014 by Howard Schatz, MD
83-year-old black female. SRNV-MD. RE 20/100 LE 20/250.
Condition/keywords: subretinal neovascularization (SRNV)
-
SRNV-MD
Oct 28 2014 by Howard Schatz, MD
84-year-old black female. SRNV-MD. RE 20/80 LE 20/250.
Condition/keywords: subretinal neovascularization (SRNV)
-
SRNV-MD
Oct 28 2014 by Howard Schatz, MD
84-year-old black female. SRNV-MD. RE 20/100 LE 20/200.
Condition/keywords: subretinal neovascularization (SRNV)
-
SRNV-MD
Oct 28 2014 by Howard Schatz, MD
59-year-old white male. SRNV-MD. RE 20/100 LE 10/200.
Condition/keywords: subretinal neovascularization (SRNV)
-
SRNV-MD
Oct 28 2014 by Howard Schatz, MD
59-year-old white male. SRNV-MD. RE 20/100 LE 20/320.
Condition/keywords: subretinal neovascularization (SRNV)
-
SRNV-MD
Oct 28 2014 by Howard Schatz, MD
59-year-old white male. SRNV-MD. RE 20/128 LE 10/200.
Condition/keywords: subretinal neovascularization (SRNV)
-
SRNV-MD
Oct 28 2014 by Howard Schatz, MD
SRNV-MD. 20/200 and 1/200.
Condition/keywords: subretinal neovascularization (SRNV)
-
SRNV-MD
Oct 28 2014 by Howard Schatz, MD
78-year-old white female. SRNV-MD. 20/200 and 1/200.
Condition/keywords: subretinal neovascularization (SRNV)
-
SRNV-MD
-
SRNV-MD
Oct 28 2014 by Howard Schatz, MD
67-year-old white female. SRNV-MD. 20/30 and 8/200.
Condition/keywords: subretinal neovascularization (SRNV)
-
SRNV-MD
-
SRNV-MD
Oct 28 2014 by Howard Schatz, MD
74-year-old white female. SRNV-MD. RE 20/320 LE 20/40.
Condition/keywords: subretinal neovascularization (SRNV)
-
SRNV-MD
Oct 28 2014 by Howard Schatz, MD
74-year-old white female. SRNV-MD. RE 20/320 LE 20/160.
Condition/keywords: subretinal neovascularization (SRNV)
-
SRNV-MD
Oct 28 2014 by Howard Schatz, MD
74-year-old white female. SRNV-MD.
Condition/keywords: subretinal neovascularization (SRNV)
-
SRNV-MD
Oct 28 2014 by Howard Schatz, MD
20/50 and 8/200. SRNV-MD.
Condition/keywords: subretinal neovascularization (SRNV)
-
SRNV-MD
Oct 28 2014 by Howard Schatz, MD
20/25 and 1/200. SRNV-MD.
Condition/keywords: subretinal neovascularization (SRNV)
-
SRNV-MD
Oct 28 2014 by Howard Schatz, MD
64-year-old white male. SRNV-MD. 20/50- and 2/200.
Condition/keywords: subretinal neovascularization (SRNV)
-
SRNV-MD
Oct 28 2014 by Howard Schatz, MD
75-year-old white female. SRNV-MD. 20/30.
Condition/keywords: subretinal neovascularization (SRNV)
-
SRNV-MD
Oct 28 2014 by Howard Schatz, MD
75-year-old white female. SRNV-MD. 20/50-2 and 20/30-3.
Condition/keywords: subretinal neovascularization (SRNV)
-
SRNV-MD
Oct 28 2014 by Howard Schatz, MD
75-year-old white female. SRNV-MD. 20/40+3 and 20/30.
Condition/keywords: subretinal neovascularization (SRNV)
-
SRNV-MD
-
SRNV-MD
Oct 28 2014 by Howard Schatz, MD
79-year-old white female. SRNV-MD. RE 20/200 LE 10/200.
Condition/keywords: subretinal neovascularization (SRNV)
-
SRNV-MD
Oct 28 2014 by Howard Schatz, MD
79-year-old white female. SRNV-MD. 10/200 OU.
Condition/keywords: subretinal neovascularization (SRNV)
-
SRNV-MD
Oct 28 2014 by Howard Schatz, MD
81-year-old white female. SRNV-MD. RE 8/200 LE 20/200.
Condition/keywords: subretinal neovascularization (SRNV)
-
SRNV-MD
Oct 28 2014 by Howard Schatz, MD
80-year-old white female. SRNV-MD. RE 2/200 LE 3/200.
Condition/keywords: subretinal neovascularization (SRNV)
-
SRNV-MD
Oct 28 2014 by Howard Schatz, MD
69-year-old white female. SRNV-MD. LP and 20/200.
Condition/keywords: subretinal neovascularization (SRNV)
-
SRNV-MD
-
SRNV-MD
Oct 28 2014 by Howard Schatz, MD
72-year-old female. SRNV-MD. 20/40 and 20/200.
Condition/keywords: subretinal neovascularization (SRNV)
-
SRNV-MD
Oct 28 2014 by Howard Schatz, MD
72-year-old female. SRNV-MD. 20/40 and 20/200.
Condition/keywords: subretinal neovascularization (SRNV)
-
SRNV-MD
Oct 28 2014 by Howard Schatz, MD
74-year-old white female. SRNV-MD. RE 20/50 LE 20/70.
Condition/keywords: subretinal neovascularization (SRNV)
-
SRNV-MD
Oct 28 2014 by Howard Schatz, MD
74-year-old white female. SRNV-MD. RE 20/40 LE 20/200.
Condition/keywords: subretinal neovascularization (SRNV)
-
SRNV-MD
Oct 28 2014 by Howard Schatz, MD
67-year-old white male. SRNV-MD. RE 20/40 LE 20/15.
Condition/keywords: subretinal neovascularization (SRNV)
-
SRNV-MD
Oct 28 2014 by Howard Schatz, MD
68-year-old white male. SRNV-MD. RE 5/200 LE 20/15.
Condition/keywords: subretinal neovascularization (SRNV)
-
SRNV-MD
Oct 28 2014 by Howard Schatz, MD
67-year-old white male. SRNV-MD. RE 20/200 LE 200/320.
Condition/keywords: subretinal neovascularization (SRNV)
-
SRNV-MD
Oct 28 2014 by Howard Schatz, MD
57-year-old white male. SRNV-MD. 20/70.
Condition/keywords: subretinal neovascularization (SRNV)
-
SRNV-MD
-
SRNV-MD
Oct 28 2014 by Howard Schatz, MD
57-year-old white male. SRNV-MD. 20/100.
Condition/keywords: subretinal neovascularization (SRNV)
-
SRNV-MD
Oct 28 2014 by Howard Schatz, MD
57-year-old white male. SRNV-MD. 10/200.
Condition/keywords: subretinal neovascularization (SRNV)
-
SRNV-MD
Oct 28 2014 by Howard Schatz, MD
77-year-old white male. SRNV-MD. RE 20/250 LE 20/100.
Condition/keywords: subretinal neovascularization (SRNV)
-
SRNV-MD
Oct 28 2014 by Howard Schatz, MD
77-year-old white male. SRNV-MD. RE 20/250 LE 20/50.
Condition/keywords: subretinal neovascularization (SRNV)
-
SRNV-MD
Oct 28 2014 by Howard Schatz, MD
61-year-old white female. SRNV-MD. 20/70 and 2/200.
Condition/keywords: subretinal neovascularization (SRNV)
-
SRNV-MD
Oct 28 2014 by Howard Schatz, MD
61-year-old white female. SRNV-MD. 20/40 and HM 3'.
Condition/keywords: subretinal neovascularization (SRNV)
-
SRNV-MD
-
SRNV-MD
Oct 28 2014 by Howard Schatz, MD
20/50- and 5/200. SRNV-MD.
Condition/keywords: subretinal neovascularization (SRNV)
-
SRNV-MD
-
SRNV-MD
-
SRNV-MD
Oct 28 2014 by Howard Schatz, MD
63-year-old white male. SRNV-MD.
Condition/keywords: subretinal neovascularization (SRNV)
-
SRNV-MD
-
SRNV-MD
Oct 28 2014 by Howard Schatz, MD
84-year-old white female. SRNV-MD. RE 20/160 LE 20/25.
Condition/keywords: subretinal neovascularization (SRNV)
-
SRNV-MD
Oct 28 2014 by Howard Schatz, MD
80-year-old white female. SRNV-MD. RE 20/50 LE 20/80.
Condition/keywords: subretinal neovascularization (SRNV)
-
SRNV-MD
Oct 28 2014 by Howard Schatz, MD
70-year-old white male. SRNV-MD. RE 20/80 LE 20/32.
Condition/keywords: subretinal neovascularization (SRNV)
-
SRNV-MD
Oct 28 2014 by Howard Schatz, MD
70-year-old white male. SRNV-MD. RE 20/80 LE 20/32.
Condition/keywords: subretinal neovascularization (SRNV)
-
SRNV-MD
Oct 28 2014 by Howard Schatz, MD
74-year-old white female. SRNV-MD. RE 20/40 LE 20/200.
Condition/keywords: subretinal neovascularization (SRNV)
-
SRNV-MD
Oct 28 2014 by Howard Schatz, MD
74-year-old white female. SRNV-MD. RE 20/40 LE 20/60.
Condition/keywords: subretinal neovascularization (SRNV)
-
SRNV-MD
Oct 28 2014 by Howard Schatz, MD
70-year-old white female. SRNV-MD. 20/70-1 and 20/60-1.
Condition/keywords: subretinal neovascularization (SRNV)
-
SRNV-MD
Oct 28 2014 by Howard Schatz, MD
70-year-old white female. SRNV-MD. 20/200 and 20/30-1.
Condition/keywords: subretinal neovascularization (SRNV)
-
SRNV-MD
Oct 28 2014 by Howard Schatz, MD
70-year-old white female. SRNV-MD. 2/200 and 20/30-1.
Condition/keywords: subretinal neovascularization (SRNV)
-
SRNV-MD
-
SRNV-MD
Oct 28 2014 by Howard Schatz, MD
66-year-old white female. SRNV-MD. RE 20/100 LE 2/200.
Condition/keywords: subretinal neovascularization (SRNV)
-
SRNV-MD
Oct 28 2014 by Howard Schatz, MD
66-year-old white female. SRNV-MD. RE 20/50 LE 3/200.
Condition/keywords: subretinal neovascularization (SRNV)
-
SRNV-MD
Oct 28 2014 by Howard Schatz, MD
31-year-old white female. SRNV-MD. 20/20+ and 20/20-.
Condition/keywords: subretinal neovascularization (SRNV)
-
SRNV-MD
Oct 28 2014 by Howard Schatz, MD
78-year-old white female. SRNV-MD. RE 3/200 LE 20/200.
Condition/keywords: subretinal neovascularization (SRNV)
-
SRNV-MD
Oct 28 2014 by Howard Schatz, MD
78-year-old white female. SRNV-MD. CF 2' LE 20/160.
Condition/keywords: subretinal neovascularization (SRNV)
-
SRNV-MD
Oct 28 2014 by Howard Schatz, MD
33-year-old white female. SRNV-MD. 20/40 and 20/25.
Condition/keywords: subretinal neovascularization (SRNV)
-
SRNV-MD
Oct 28 2014 by Howard Schatz, MD
69-year-old white male. SRNV-MD. 20/200 and 20/70+.
Condition/keywords: subretinal neovascularization (SRNV)
-
SRNV-MD
-
SRNV-MD
Oct 28 2014 by Howard Schatz, MD
72-year-old white male. SRNV-MD.
Condition/keywords: subretinal neovascularization (SRNV)
-
SRNV-MD
Oct 28 2014 by Howard Schatz, MD
73-year-old white male. SRNV-MD. 20/200 and 20/40.
Condition/keywords: subretinal neovascularization (SRNV)
-
SRNV-MD
Oct 28 2014 by Howard Schatz, MD
76-year-old white male. SRNV-MD. 20/200 and 20/50+1.
Condition/keywords: subretinal neovascularization (SRNV)
-
SRNV-MD
Oct 28 2014 by Howard Schatz, MD
76-year-old white male. SRNV-MD.
Condition/keywords: subretinal neovascularization (SRNV)
-
SRNV-MD
Oct 28 2014 by Howard Schatz, MD
77-year-old white male. SRNV-MD. RE 20/200 LE 20/100.
Condition/keywords: subretinal neovascularization (SRNV)
-
SRNV-MD
Oct 28 2014 by Howard Schatz, MD
78-year-old white male. SRNV-MD. 20/200 OU.
Condition/keywords: subretinal neovascularization (SRNV)
-
SRNV-MD
Oct 28 2014 by Howard Schatz, MD
77-year-old white male. SRNV-MD. 20/200 OU.
Condition/keywords: subretinal neovascularization (SRNV)
-
SRNV-MD
Oct 28 2014 by Howard Schatz, MD
78-year-old white male. SRNV-MD. RE 10/200 LE 20/50.
Condition/keywords: subretinal neovascularization (SRNV)
-
SRNV-MD
Oct 30 2014 by Howard Schatz, MD
81-year-old male. SRNV-MD. RE 2/200 LE 20/250.
Condition/keywords: subretinal neovascularization (SRNV)
-
SRNV-MD
Oct 30 2014 by Howard Schatz, MD
60-year-old white male. SRNV-MD. 20/50.
Condition/keywords: subretinal neovascularization (SRNV)
-
SRNV-MD
Oct 30 2014 by Howard Schatz, MD
66-year-old white male. SRNV-MD. 1 month post op. 20/50.
Condition/keywords: subretinal neovascularization (SRNV)
-
SRNV-MD
Oct 30 2014 by Howard Schatz, MD
69-year-old white male. SRNV-MD. RE 20/160 LE 20/32.
Condition/keywords: subretinal neovascularization (SRNV)
-
SRNV-MD
Oct 30 2014 by Howard Schatz, MD
70-year-old white male. SRNV-MD. RE 20/250 LE 20/32.
Condition/keywords: subretinal neovascularization (SRNV)
-
SRNV-MD
Oct 30 2014 by Howard Schatz, MD
70-year-old white male. SRNV-MD. RE 20/200 LE 20/50.
Condition/keywords: subretinal neovascularization (SRNV)
-
SRNV-MD
Oct 30 2014 by Howard Schatz, MD
70-year-old white male. SRNV-MD. RE 20/200 LE 20/63.
Condition/keywords: subretinal neovascularization (SRNV)
-
SRNV-MD
Oct 30 2014 by Howard Schatz, MD
61-year-old white male. SRNV-MD. RE 20/200 LE 20/25.
Condition/keywords: subretinal neovascularization (SRNV)
-
SRNV-MD
Oct 30 2014 by Howard Schatz, MD
63-year-old white male. SRNV-MD. RE 6/200 LE 20/15.
Condition/keywords: subretinal neovascularization (SRNV)
-
SRNV-MD
Oct 30 2014 by Howard Schatz, MD
70-year-old white male. SRNV-MD. RE 10/200 LE 20/64.
Condition/keywords: subretinal neovascularization (SRNV)
-
SRNV-MD
Oct 30 2014 by Howard Schatz, MD
72-year-old white female. SRNV-MD. RE 20/20 LE 20/200.
Condition/keywords: subretinal neovascularization (SRNV)
-
SRNV-MD
Oct 30 2014 by Howard Schatz, MD
72-year-old white female. SRNV-MD. RE 20/20 LE 20/30.
Condition/keywords: subretinal neovascularization (SRNV)
-
SRNV-MD
Oct 30 2014 by Howard Schatz, MD
72-year-old white female. SRNV-MD. RE 20/40 LE 10/200.
Condition/keywords: subretinal neovascularization (SRNV)
-
SRNV-MD
Oct 30 2014 by Howard Schatz, MD
72-year-old white female. SRNV-MD RE 20/30 LE 10/200.
Condition/keywords: subretinal neovascularization (SRNV)
-
SRNV-MD/ PED
Oct 30 2014 by Howard Schatz, MD
78-year-old white male. SRNV-MD. RE 20/70 LE NLP.
Condition/keywords: subretinal neovascularization (SRNV)
-
SRNV-MD
Oct 30 2014 by Howard Schatz, MD
78-year-old white male. SRNV-MD. RE 20/50 LE NLP.
Condition/keywords: subretinal neovascularization (SRNV)
-
SRNV-MD
Oct 30 2014 by Howard Schatz, MD
78-year-old white male. SRNV-MD. RE 20/200 LE NLP.
Condition/keywords: subretinal neovascularization (SRNV)
-
SRNV-MD
Oct 30 2014 by Howard Schatz, MD
70-year-old white male. SRNV-MD. RE 70/700 LE NLP.
Condition/keywords: subretinal neovascularization (SRNV)
-
SRNV-MD
Oct 30 2014 by Howard Schatz, MD
73-year-old white female. SRNV-MD. 20/30 and 3/200.
Condition/keywords: subretinal neovascularization (SRNV)
-
SRNV-MD
Oct 30 2014 by Howard Schatz, MD
73-year-old white female. SRNV-MD. 20/30 and 3/200.
Condition/keywords: subretinal neovascularization (SRNV)
-
SRNV-MD
Oct 30 2014 by Howard Schatz, MD
61-year-old white male. SRNV-MD.
Condition/keywords: subretinal neovascularization (SRNV)
-
SRNV-MD
Oct 30 2014 by Howard Schatz, MD
62-year-old white male. SRNV-MD.
Condition/keywords: subretinal neovascularization (SRNV)
-
SRNV-MD
Oct 30 2014 by Howard Schatz, MD
62-year-old white male. SRNV-MD.
Condition/keywords: subretinal neovascularization (SRNV)
-
SRNV-MD
Oct 30 2014 by Howard Schatz, MD
62-year-old white male. SRNV-MD.
Condition/keywords: subretinal neovascularization (SRNV)
-
SRNV-MD
Oct 30 2014 by Howard Schatz, MD
75-year-old white female. SRNV-MD. RE 20/40 LE 10/200.
Condition/keywords: subretinal neovascularization (SRNV)
-
SRNV-MD
Oct 30 2014 by Howard Schatz, MD
20/30 2 months post laser for SRNV.
Condition/keywords: subretinal neovascularization (SRNV)
-
SRNV-MD
Oct 30 2014 by Howard Schatz, MD
75-year-old white male. SRNV-MD. 10/20 and 20/70.
Condition/keywords: subretinal neovascularization (SRNV)
-
SRNV-MD
Oct 30 2014 by Howard Schatz, MD
73-year-old white male. SRNV-MD. 20/20- and 20/300.
Condition/keywords: subretinal neovascularization (SRNV)
-
SRNV-MD
Oct 30 2014 by Howard Schatz, MD
73-year-old white male. SRNV-MD. 20/20 and 1/200.
Condition/keywords: subretinal neovascularization (SRNV)
-
SRNV-MD
Oct 30 2014 by Howard Schatz, MD
74-year-old white male. SRNV-MD. 20/200 and 1/200.
Condition/keywords: subretinal neovascularization (SRNV)
-
SRNV-MD
Oct 30 2014 by Howard Schatz, MD
66-year-old white female. SRNV-MD. RE 20/25 LE 20/250.
Condition/keywords: subretinal neovascularization (SRNV)
-
SRNV-MD
Oct 30 2014 by Howard Schatz, MD
66-year-old white female. SRNV-MD. RE 20/25 LE 7/200.
Condition/keywords: subretinal neovascularization (SRNV)
-
SRNV-MD
Oct 30 2014 by Howard Schatz, MD
30-year-old black female. SRNV-MD. 20/200 and 20/13-.
Condition/keywords: subretinal neovascularization (SRNV)
-
SRNV-MD
-
SRNV-MD
Oct 30 2014 by Howard Schatz, MD
70-year-old white male. SRNV-MD. RE 20/25 LE 20/20.
Condition/keywords: subretinal neovascularization (SRNV)
-
SRNV-MD
Oct 30 2014 by Howard Schatz, MD
71-year-old white male. SRNV-MD. RE 20/70 LE 20/25.
Condition/keywords: subretinal neovascularization (SRNV)
-
SRNV-MD
Oct 30 2014 by Howard Schatz, MD
71-year-old white male. SRNV-MD. RE 20/200 LE 20/20.
Condition/keywords: subretinal neovascularization (SRNV)
-
SRNV-MD
Oct 30 2014 by Howard Schatz, MD
70-year-old white male. SRNV-MD. RE 20/200 LE 20/20.
Condition/keywords: subretinal neovascularization (SRNV)
-
SRNV-MD
Oct 30 2014 by Howard Schatz, MD
80-year-old white female. SRNV-MD. 20/20, 20/50.
Condition/keywords: subretinal neovascularization (SRNV)
-
SRNV-MD
Oct 30 2014 by Howard Schatz, MD
3 weeks after laser. 20/50 and then 20/200.
Condition/keywords: subretinal neovascularization (SRNV)
-
SRNV-MD
Oct 30 2014 by Howard Schatz, MD
65-year-old white female. SRNV-MD. RE 20/70 LE 20/40.
Condition/keywords: subretinal neovascularization (SRNV)
-
SRNV-MD
Oct 30 2014 by Howard Schatz, MD
65-year-old white female. SRNV-MD. 20/20.
Condition/keywords: subretinal neovascularization (SRNV)
-
SRNV-MD
Oct 30 2014 by Howard Schatz, MD
65-year-old white female. SRNV-MD. 20/25.
Condition/keywords: subretinal neovascularization (SRNV)
-
SRNV-MD
Oct 30 2014 by Howard Schatz, MD
67-year-old white female. SRNV-MD. RE 20/40 LE 1/200.
Condition/keywords: subretinal neovascularization (SRNV)
-
Image-02511
Oct 30 2014 by Howard Schatz, MD
68-year-old white female. SRNV-MD. RE 20/40 LE 3/200.
Condition/keywords: subretinal neovascularization (SRNV)
-
SRNV-MD
Oct 30 2014 by Howard Schatz, MD
68-year-old white female. SRNV-MD. RE 20/50 LE CF/200.
Condition/keywords: subretinal neovascularization (SRNV)
-
SRNV-MD
Oct 30 2014 by Howard Schatz, MD
68-year-old white female. SRNV-MD. RE 20/460 LE 6/200.
Condition/keywords: subretinal neovascularization (SRNV)
-
SRNV-MD
Oct 30 2014 by Howard Schatz, MD
65-year-old white female. SRNV-MD.
Condition/keywords: subretinal neovascularization (SRNV)
-
SRNV-MD
Oct 30 2014 by Howard Schatz, MD
65-year-old white female. SRNV-MD.
Condition/keywords: subretinal neovascularization (SRNV)
-
SRNV-MD
Oct 30 2014 by Howard Schatz, MD
69-year-old white female. SRNV-MD. RE 20/80 LE 20/64.
Condition/keywords: subretinal neovascularization (SRNV)
-
SRNV-MD
Oct 30 2014 by Howard Schatz, MD
69-year-old white female. SRNV-MD. RE 20/100 LE 20/80.
Condition/keywords: subretinal neovascularization (SRNV)
-
SRNV-MD
Oct 30 2014 by Howard Schatz, MD
70-year-old white female. SRNV-MD. RE 9/200 LE 20/128.
Condition/keywords: subretinal neovascularization (SRNV)
-
SRNV-MD
Oct 30 2014 by Howard Schatz, MD
70-year-old white female. SRNV-MD. RE 10/200 LE 20/160.
Condition/keywords: subretinal neovascularization (SRNV)
-
SRNV-MD
Oct 30 2014 by Howard Schatz, MD
71-year-old white female. SRNV-MD. RE 10/200 LE 20/160.
Condition/keywords: subretinal neovascularization (SRNV)
-
SRNV-MD
Oct 30 2014 by Howard Schatz, MD
72-year-old white female. SRNV-MD. RE 10/200 LE 20/250.
Condition/keywords: subretinal neovascularization (SRNV)
-
SRNV-MD
Oct 30 2014 by Howard Schatz, MD
71-year-old white female. SRNV-MD. RE 20/40 LE 6/200.
Condition/keywords: subretinal neovascularization (SRNV)
-
SRNV-MD
Oct 30 2014 by Howard Schatz, MD
71-year-old white female. SRNV-MD. RE 20/63 LE 3/200.
Condition/keywords: subretinal neovascularization (SRNV)
-
SRNV-MD
Oct 30 2014 by Howard Schatz, MD
71-year-old white female. SRNV-MD. RE 20/80 LE 5/200.
Condition/keywords: subretinal neovascularization (SRNV)
-
SRNV-MD
Oct 30 2014 by Howard Schatz, MD
67-year-old white male. SRNV-MD. 20/60 and 20/200.
Condition/keywords: subretinal neovascularization (SRNV)
-
SRNV-MD
Oct 30 2014 by Howard Schatz, MD
76-year-old white male. SRNV-MD.
Condition/keywords: subretinal neovascularization (SRNV)
-
SRNV-MD
-
SRNV-MD
-
SRNV-MD
-
SRNV-MD
Oct 30 2014 by Howard Schatz, MD
76-year-old white female. SRNV-MD. 20/30 OU.
Condition/keywords: subretinal neovascularization (SRNV)
-
SRNV-MD
Oct 30 2014 by Howard Schatz, MD
76-year-old white male. SRNV-MD. 20/50.
Condition/keywords: subretinal neovascularization (SRNV)
-
SRNV-MD
-
SRNV-MD
Oct 30 2014 by Howard Schatz, MD
62-year-old white female. SRNV-MD. 20/30 OU.
Condition/keywords: subretinal neovascularization (SRNV)
-
SRNV-MD
Oct 30 2014 by Howard Schatz, MD
74-year-old white female. SRNV-MD. RE 20/64 LE 20/50.
Condition/keywords: subretinal neovascularization (SRNV)
-
SRNV-MD
-
SRNV-MD
Oct 30 2014 by Howard Schatz, MD
77-year-old white female. SRNV-MD. 20/70 and FC 1'.
Condition/keywords: subretinal neovascularization (SRNV)
-
SRNV-MD
Oct 30 2014 by Howard Schatz, MD
67-year-old white female. 20/50. SRNV-MD.
Condition/keywords: subretinal neovascularization (SRNV)
-
SRNV-MD
Oct 30 2014 by Howard Schatz, MD
79-year-old white female. SRNV-MD. 20/70 and CF 1'.
Condition/keywords: subretinal neovascularization (SRNV)
-
SRNV-MD
-
SRNV-MD
Oct 30 2014 by Howard Schatz, MD
94-year-old white female. SRNV-MD. RE 20/160 LE 20/64.
Condition/keywords: subretinal neovascularization (SRNV)
-
SRNV-MD
Oct 30 2014 by Howard Schatz, MD
69-year-old white male. SRNV-MD.
Condition/keywords: subretinal neovascularization (SRNV)
-
SRNV-MD
Oct 30 2014 by Howard Schatz, MD
69-year-old white male. SRNV-MD.
Condition/keywords: subretinal neovascularization (SRNV)
-
SRNV-MD
Oct 30 2014 by Howard Schatz, MD
71-year-old white male. SRNV-MD.
Condition/keywords: subretinal neovascularization (SRNV)
-
SRNV-MD
Oct 30 2014 by Howard Schatz, MD
72-year-old white male. SRNV-MD.
Condition/keywords: subretinal neovascularization (SRNV)
-
SRNV-MD
Oct 30 2014 by Howard Schatz, MD
71-year-old white male. SRNV-MD.
Condition/keywords: subretinal neovascularization (SRNV)
-
SRNV-MD
Oct 30 2014 by Howard Schatz, MD
72-year-old white male. SRNV-MD. 20/200.
Condition/keywords: subretinal neovascularization (SRNV)
-
SRNV-MD
Oct 30 2014 by Howard Schatz, MD
72-year-old white male,. SRNV-MD.
Condition/keywords: subretinal neovascularization (SRNV)
-
SRNV-MD
Oct 30 2014 by Howard Schatz, MD
72-year-old white male. SRNV-MD.
Condition/keywords: subretinal neovascularization (SRNV)
-
SRNV-MD
Oct 30 2014 by Howard Schatz, MD
78-year-old white female. SRNV-MD. RE 20/100 LE 8/200.
Condition/keywords: subretinal neovascularization (SRNV)
-
SRNV-MD
-
SRNV-MD
Oct 30 2014 by Howard Schatz, MD
77-year-old white female. SRNV-MD. 20/70 and FC 1'.
Condition/keywords: subretinal neovascularization (SRNV)
-
SRNV-MD
Oct 30 2014 by Howard Schatz, MD
79-year-old white female. SRNV-MD. 20/70 and CF 1'.
Condition/keywords: subretinal neovascularization (SRNV)
-
SRNV-MD
Oct 30 2014 by Howard Schatz, MD
87-year-old white male. SRNV-MD. LE 20/50.
Condition/keywords: subretinal neovascularization (SRNV)
-
SRNV-MD
Oct 30 2014 by Howard Schatz, MD
89-year-old white male. SRNV-MD. CF 1'. LE 20/128.
Condition/keywords: subretinal neovascularization (SRNV)
-
SRNV-MD
Oct 30 2014 by Howard Schatz, MD
89-year-old white male. SRNV-MD. CF 1'. LE 20/160.
Condition/keywords: subretinal neovascularization (SRNV)
-
SRNV-MD
Oct 30 2014 by Howard Schatz, MD
89-year-old white male. SRNV-MD. RE 2'/200 LE 20/160.
Condition/keywords: subretinal neovascularization (SRNV)
-
SRNV-MD
Oct 30 2014 by Howard Schatz, MD
89-year-old white male. SRNV-MD. RE 1/200 LE 20/100.
Condition/keywords: subretinal neovascularization (SRNV)
-
SRNV-MD
Oct 30 2014 by Howard Schatz, MD
20/70 and 2/200. SRNV-MD
Condition/keywords: subretinal neovascularization (SRNV)
-
SRNV-MD
Oct 30 2014 by Howard Schatz, MD
81-year-old white male. SRNV-MD. 20/30.
Condition/keywords: subretinal neovascularization (SRNV)
-
SRNV-MD
Oct 30 2014 by Howard Schatz, MD
81-year-old white male. SRNV-MD. 20/30 and 20/200.
Condition/keywords: subretinal neovascularization (SRNV)
-
SRNV-MD
Oct 30 2014 by Howard Schatz, MD
82-year-old white male. SRNV-MD. 20/40 and 8/200.
Condition/keywords: subretinal neovascularization (SRNV)
-
SRNV-MD
Oct 30 2014 by Howard Schatz, MD
72-year-old white female. SRNV-MD. RE 20/25 LE 20/40.
Condition/keywords: subretinal neovascularization (SRNV)
-
SRNV-MD
-
SRNV-MD
Oct 30 2014 by Howard Schatz, MD
66-year-old white female. SRNV-MD. RE 20/160 LE 20/32.
Condition/keywords: subretinal neovascularization (SRNV)
-
SRNV-MD
Oct 30 2014 by Howard Schatz, MD
66-year-old white female. SRNV-MD. 20/70 and 20/20-4 ph.
Condition/keywords: subretinal neovascularization (SRNV)
-
SRNV-MD
Oct 30 2014 by Howard Schatz, MD
66-year-old white female. SRNV-MD. 20/200 and 20/20.
Condition/keywords: subretinal neovascularization (SRNV)
-
SRNV-MD
Oct 30 2014 by Howard Schatz, MD
66-year-old white female. SRNV-MD. 20/100-1 and 20/20-2.
Condition/keywords: subretinal neovascularization (SRNV)
-
SRNV-MD
Oct 30 2014 by Howard Schatz, MD
66-year-old white female. SRNV-MD. 20/200 and 20/20-2.
Condition/keywords: subretinal neovascularization (SRNV)
-
SRNV-MD
Oct 30 2014 by Howard Schatz, MD
80-year-old white female. SRNV-MD. 10/200 OU.
Condition/keywords: subretinal neovascularization (SRNV)
-
SRNV-MD
Oct 30 2014 by Howard Schatz, MD
75-year-old white female. SRNV-MD. 20/25ph and 20/200.
Condition/keywords: subretinal neovascularization (SRNV)
-
SRNV-MD
Oct 30 2014 by Howard Schatz, MD
75-year-old black female. SRNV-MD. 20/25-2 ph and 10/200.
Condition/keywords: subretinal neovascularization (SRNV)
-
SRNV-MD
Oct 30 2014 by Howard Schatz, MD
76-year-old white female. SRNV-MD. 20/25 and 10/200.
Condition/keywords: subretinal neovascularization (SRNV)
-
SRNV-MD
Oct 30 2014 by Howard Schatz, MD
71-year-old white femael. SRNV-MD CHORFLD. RE 20/100 LE 20/30.
Condition/keywords: subretinal neovascularization (SRNV)
-
SRNV-MD
Oct 30 2014 by Howard Schatz, MD
71-year-old white female. SRNV-MD CHORFLD. RE 3/200 LE 20/20.
Condition/keywords: subretinal neovascularization (SRNV)
-
SRNV-MD
Oct 30 2014 by Howard Schatz, MD
71-year-old white female. SRNV-MD CHORFLD. RE 4/200 LE 20/25.
Condition/keywords: subretinal neovascularization (SRNV)
-
SRNV-MD
Oct 30 2014 by Howard Schatz, MD
80-year-old white female. SRNV-MD. RE 4/200 LE 20/25.
Condition/keywords: subretinal neovascularization (SRNV)
-
SRNV-MD
Oct 30 2014 by Howard Schatz, MD
80-year-old white female. SRNV-MD. RE 20/40 LE 20/200.
Condition/keywords: subretinal neovascularization (SRNV)
-
SRNV-MD
Oct 30 2014 by Howard Schatz, MD
80-year-old white female. SRNV-MD. RE 20/40 LE 20/200.
Condition/keywords: subretinal neovascularization (SRNV)
-
SRNV-MD
Oct 30 2014 by Howard Schatz, MD
81-year-old white female. SRNV-MD. Re 20/30 LE 7/200.
Condition/keywords: subretinal neovascularization (SRNV)
-
SRNV-MD
Oct 30 2014 by Howard Schatz, MD
71-year-old white female. SRNV-MD. RE 1/200 LE 20/15.
Condition/keywords: subretinal neovascularization (SRNV)
-
SRNV-MD
Oct 30 2014 by Howard Schatz, MD
74-year-old white male. SRNV-MD. 20/40 and 20/25.
Condition/keywords: subretinal neovascularization (SRNV)
-
SRNV-MD
Oct 30 2014 by Howard Schatz, MD
75-year-old white male. SRNV-MD. 20/500 and 20/25.
Condition/keywords: subretinal neovascularization (SRNV)
-
SRNV-MD
Oct 30 2014 by Howard Schatz, MD
80-year-old white female. SRNV-MD. RE 20/100 LE 20/25.
Condition/keywords: subretinal neovascularization (SRNV)
-
SRNV-MD
Oct 30 2014 by Howard Schatz, MD
68-year-old white female. SRNV-MD. 6/200 and 20/50-.
Condition/keywords: subretinal neovascularization (SRNV)
-
SRNV-MD
-
SRNV-MD
Nov 5 2014 by Howard Schatz, MD
20/100 1 month post op.
Condition/keywords: subretinal neovascularization (SRNV)
-
SRNV-MD
Nov 5 2014 by Howard Schatz, MD
71-year-old white male. SRNV-MD. 20/200.
Condition/keywords: subretinal neovascularization (SRNV)
-
SRNV-MD
Nov 5 2014 by Howard Schatz, MD
43-year-old white male. RE 20/13 LE 20/70. SRNV-MD.
Condition/keywords: subretinal neovascularization (SRNV)
-
SRNV-MD
Nov 5 2014 by Howard Schatz, MD
45-year-old white male. SRNV-MD. RE 20/13 LE 20/25.
Condition/keywords: subretinal neovascularization (SRNV)
-
SRNV-MD
Nov 5 2014 by Howard Schatz, MD
66-year-old white male. SRNV-MD.
Condition/keywords: subretinal neovascularization (SRNV)
-
SRNV-MD
Nov 5 2014 by Howard Schatz, MD
74-year-old white female. SRNV-MD.
Condition/keywords: subretinal neovascularization (SRNV)
-
SRNV-MD
Nov 5 2014 by Howard Schatz, MD
74-year-old white female. SRNV-MD. 10/200 OU.
Condition/keywords: subretinal neovascularization (SRNV)
-
SRNV-MD
Nov 5 2014 by Howard Schatz, MD
83-year-old white male. SRNV-MD. RE 20/200 LE 8/200.
Condition/keywords: subretinal neovascularization (SRNV)
-
SRNV-MD
Nov 5 2014 by Howard Schatz, MD
83-year-old white male. SRNV-MD. RE 20/200 LE 8/200.
Condition/keywords: subretinal neovascularization (SRNV)
-
SRNV-MD
Nov 5 2014 by Howard Schatz, MD
83-year-old white male. SRNV-MD. RE 20/200 LE 6/200.
Condition/keywords: subretinal neovascularization (SRNV)
-
SRNV-MD
-
SRNV-MD
Nov 5 2014 by Howard Schatz, MD
71-year-old white female. SRNV-MD. RE 20/160 LE 20/25.
Condition/keywords: subretinal neovascularization (SRNV)
-
SRNV-MD
Nov 5 2014 by Howard Schatz, MD
70-year-old white female. SRNV-MD. RE 20/25 LE 20/250.
Condition/keywords: subretinal neovascularization (SRNV)
-
SRNV-MD
Nov 5 2014 by Howard Schatz, MD
70-year-old white female. SRNV-MD. RE 20/20 LE 20/250.
Condition/keywords: subretinal neovascularization (SRNV)
-
SRNV-MD
Nov 5 2014 by Howard Schatz, MD
68-year-old white male. SRNV-MD. RE 20/25 LE 6/200.
Condition/keywords: subretinal neovascularization (SRNV)
-
SRNV-MD
-
SRNV-MD
-
SRNV-MD
Nov 5 2014 by Howard Schatz, MD
10/200 6 months post op. SRNV-MD.
Condition/keywords: subretinal neovascularization (SRNV)
-
SRNV-MD
Nov 5 2014 by Howard Schatz, MD
43-year-old male. RE 20/20 LE 20/25.
Condition/keywords: subretinal neovascularization (SRNV)
-
SRNV-MD
-
SRNV-MD
Nov 5 2014 by Howard Schatz, MD
81-year-old black female. SRNV-MD. 20/200 and 20/200.
Condition/keywords: subretinal neovascularization (SRNV)
-
SRNV-MD
Nov 5 2014 by Howard Schatz, MD
81-year-old black female. SRNV-MD. 20/100 and 20/200.
Condition/keywords: subretinal neovascularization (SRNV)
-
SRNV-MD
Nov 5 2014 by Howard Schatz, MD
81-year-old black female. SRNV-MD. 20/70 and 20/200.
Condition/keywords: subretinal neovascularization (SRNV)
-
SRNV-MD
Nov 5 2014 by Howard Schatz, MD
81-year-old black female. SRNV-MD. 20/40 and 20/100.
Condition/keywords: subretinal neovascularization (SRNV)
-
SRNV-MD
Nov 5 2014 by Howard Schatz, MD
70-ear-old white female. SRNV-MD. RE 20/64 LE 2/200.
Condition/keywords: subretinal neovascularization (SRNV)
-
SRNV-MD
Nov 5 2014 by Howard Schatz, MD
70-year-old white female. SRNV-MD. Re 20/40 LE 5'/200.
Condition/keywords: subretinal neovascularization (SRNV)
-
SRNV-MD
Nov 5 2014 by Howard Schatz, MD
70-year-old white female. SRNV-MD. RE 20/100 LE 2/200.
Condition/keywords: subretinal neovascularization (SRNV)
-
SRNV-MD
Nov 5 2014 by Howard Schatz, MD
70-year-old white female. SRNV-MD. RE 20/200 LE 3/200.
Condition/keywords: subretinal neovascularization (SRNV)
-
SRNV-MD
Nov 5 2014 by Howard Schatz, MD
81-year-old white male. SRNV-MD. RE 20/70 LP.
Condition/keywords: subretinal neovascularization (SRNV)
-
SRNV-MD
Nov 5 2014 by Howard Schatz, MD
50-year-old white male. SRNV-MD. 20/40 and 20/40.
Condition/keywords: subretinal neovascularization (SRNV)
-
SRNV-MD
Nov 5 2014 by Howard Schatz, MD
SRNV-MD-IDIO.
Condition/keywords: subretinal neovascularization (SRNV)
-
SRNV-MD
Nov 5 2014 by Howard Schatz, MD
74-year-old white male. SRNV-MD. 20/70.
Condition/keywords: subretinal neovascularization (SRNV)
-
SRNV-MD
Nov 5 2014 by Howard Schatz, MD
66-year-old male. SRNV-MD. RE 20/100 LE 20/70.
Condition/keywords: subretinal neovascularization (SRNV)
-
SRNV-MD
Nov 5 2014 by Howard Schatz, MD
76-year-old white female. SRNV-MD. 20/200 and 2/200.
Condition/keywords: subretinal neovascularization (SRNV)
-
SRNV-MD
Nov 5 2014 by Howard Schatz, MD
76-year-old white male. SRNV-MD. RE 20/20 LE 10/200.
Condition/keywords: subretinal neovascularization (SRNV)
-
SRNV-MD
Nov 5 2014 by Howard Schatz, MD
79-year-old white male. SRNV-MD. RE 20/40 LE 10/200.
Condition/keywords: subretinal neovascularization (SRNV)
-
SRNV-MD
Nov 5 2014 by Howard Schatz, MD
79-year-old white male. SRNV-MD. RE 20/50 LE 9/200.
Condition/keywords: subretinal neovascularization (SRNV)
-
SRNV-MD
Nov 5 2014 by Howard Schatz, MD
80-year-old white male. SRNV-MD. RE 20/50 LE 4/200.
Condition/keywords: subretinal neovascularization (SRNV)
-
SRNV-MD
Nov 5 2014 by Howard Schatz, MD
80-year-old white male. SRNV-MD. RE 20/30 LE 4/200.
Condition/keywords: subretinal neovascularization (SRNV)
-
SRNV-MD
Nov 5 2014 by Howard Schatz, MD
81-year-old white male. SRNV-MD. RE 70/40 LE 8/200.
Condition/keywords: subretinal neovascularization (SRNV)
-
SRNV-MD
Nov 5 2014 by Howard Schatz, MD
81-year-old white female. SRNV-MD. RE 20/200 LE 3/200.
Condition/keywords: subretinal neovascularization (SRNV)
-
SRNV-MD
Nov 5 2014 by Howard Schatz, MD
73-year-old white male. SRNV-MD. RE 20/30 LE 20/200.
Condition/keywords: subretinal neovascularization (SRNV)
-
SRNV-MD
Nov 5 2014 by Howard Schatz, MD
73-year-old white male. SRNV-MD. RE 20/80 LE 20/200.
Condition/keywords: subretinal neovascularization (SRNV)
-
SRNV-MD
Nov 5 2014 by Howard Schatz, MD
73-year-old white male. SRNV-MD. RE 20/25 LE 20/200.
Condition/keywords: subretinal neovascularization (SRNV)
-
SRNV-MD
Nov 5 2014 by Howard Schatz, MD
74-year-old white female. SRNV-MD. 20/40 and 10/200.
Condition/keywords: subretinal neovascularization (SRNV)
-
SRNV-MD
Nov 5 2014 by Howard Schatz, MD
74-year-old white female. SRNV-MD. 20/100 and 10/200.
Condition/keywords: subretinal neovascularization (SRNV)
-
SRNV-MD
Nov 5 2014 by Howard Schatz, MD
82-year-old white male. SRNV-MD. RE 20/50 LE 5/200.
Condition/keywords: subretinal neovascularization (SRNV)
-
SRNV-MD
Nov 5 2014 by Howard Schatz, MD
82-year-old white male. SRNV-MD. RE 20/50 LE 20/200.
Condition/keywords: subretinal neovascularization (SRNV)
-
SRNV-MD
Nov 5 2014 by Howard Schatz, MD
79-year-old white female. SRNV-MD. RE HM1' LE 20/160.
Condition/keywords: subretinal neovascularization (SRNV)
-
SRNV-MD
Nov 5 2014 by Howard Schatz, MD
72-year-old white female. SRNV-MD. RE 20/50 LE HM2'.
Condition/keywords: subretinal neovascularization (SRNV)
-
SRNV-MD
Nov 5 2014 by Howard Schatz, MD
72-year-old white female. SRNV-MD. RE 20/40 LE CF 2'.
Condition/keywords: subretinal neovascularization (SRNV)
-
SRNV-MD
Nov 5 2014 by Howard Schatz, MD
63-year-old white female. SRNV-MD. 20/400- and 20/200.
Condition/keywords: subretinal neovascularization (SRNV)
-
SRNV-MD
Nov 5 2014 by Howard Schatz, MD
63-year-old white female. SRNV-MD. 20/20/ and 20/200.
Condition/keywords: subretinal neovascularization (SRNV)
-
SRNV-MD
Nov 5 2014 by Howard Schatz, MD
63-year-old white female. SRNV-MD. 20/40- and 20/100-.
Condition/keywords: subretinal neovascularization (SRNV)
-
SRNV-MD
Nov 5 2014 by Howard Schatz, MD
SRNV-MD. 20/70.
Condition/keywords: subretinal neovascularization (SRNV)
-
SRNV-MD
-
SRNV-MD
-
SRNV-MD
Nov 5 2014 by Howard Schatz, MD
79-year-old white female. SRNV-MD. 6/200 and 20/30.
Condition/keywords: subretinal neovascularization (SRNV)
-
SRNV-MD
Nov 5 2014 by Howard Schatz, MD
79-year-old white female. SRNV-MD. 6/200 and 20/20.
Condition/keywords: subretinal neovascularization (SRNV)
-
SRNV-MD
Nov 5 2014 by Howard Schatz, MD
79-year-old white female. SRNV-MD. 2/200 and 20/25.
Condition/keywords: subretinal neovascularization (SRNV)
-
SRNV-MD
-
SRNV-MD
-
SRNV-MD
Nov 5 2014 by Howard Schatz, MD
64-year-old white male. SRNV-MD. RE 20/25 LE 20/50.
Condition/keywords: subretinal neovascularization (SRNV)
-
SRNV-MD
Nov 5 2014 by Howard Schatz, MD
64-year-old white male. SRNV-MD. RE 20/32 LE 20/40.
Condition/keywords: subretinal neovascularization (SRNV)
-
SRNV-MD
Nov 5 2014 by Howard Schatz, MD
82-year-old white female. SRNV-MD. RE 10/200 LE 5/200.
Condition/keywords: subretinal neovascularization (SRNV)
-
SRNV-MD
Nov 5 2014 by Howard Schatz, MD
56-year-old white female. SRNV-MD. Post op 7 months.
Condition/keywords: subretinal neovascularization (SRNV)
-
SRNV-MD
Nov 5 2014 by Howard Schatz, MD
56-year-old white female. SRNV-MD. Pre-op.
Condition/keywords: subretinal neovascularization (SRNV)
-
SRNV-MD
Nov 5 2014 by Howard Schatz, MD
78-year-old white male. SRNV-MD.
Condition/keywords: subretinal neovascularization (SRNV)
-
SRNV-MD
Nov 5 2014 by Howard Schatz, MD
66-year-old white female. SRNV-MD. 20/40.
Condition/keywords: subretinal neovascularization (SRNV)
-
SRNV-MD
Nov 5 2014 by Howard Schatz, MD
66-year-old white female. SRNV-MD. 20/50.
Condition/keywords: subretinal neovascularization (SRNV)
-
SRNV-MD
Nov 5 2014 by Howard Schatz, MD
66-year-old white female. SRNV-MD. 20/50.
Condition/keywords: subretinal neovascularization (SRNV)
-
SRNV-MD
Nov 5 2014 by Howard Schatz, MD
66-year-old white female. SRNV-MD. 20/40.
Condition/keywords: subretinal neovascularization (SRNV)
-
SRNV-MD
-
SRNV-MD
Nov 5 2014 by Howard Schatz, MD
SRNV-MD. 20/30.
Condition/keywords: subretinal neovascularization (SRNV)
-
SRNV-MD
Nov 5 2014 by Howard Schatz, MD
72-year-old white female. SRNV-MD. 20/70 and 20/30.
Condition/keywords: subretinal neovascularization (SRNV)
-
SRNV-MD
Nov 5 2014 by Howard Schatz, MD
52-year-old white female. SRNV-MD. 20/50 and 20/30.
Condition/keywords: subretinal neovascularization (SRNV)
-
SRNV-MD
Nov 5 2014 by Howard Schatz, MD
52-year-old white female. SRNV-MD. 20/40 and 20/25.
Condition/keywords: subretinal neovascularization (SRNV)
-
SRNV-MD
-
SRNV-MD
Nov 5 2014 by Howard Schatz, MD
52-year-old white female. SRNV-MD.
Condition/keywords: subretinal neovascularization (SRNV)
-
SRNV-MD
Nov 5 2014 by Howard Schatz, MD
76-year-old white female. SRNV-MD. RE 20/160 and LE 20/40.
Condition/keywords: subretinal neovascularization (SRNV)
-
SRNV-MD
Nov 5 2014 by Howard Schatz, MD
76-year-old white female. SRNV-MD. RE 20/320 LE 20/50.
Condition/keywords: subretinal neovascularization (SRNV)
-
SRNV-MD
Nov 5 2014 by Howard Schatz, MD
66-year-old white female. SRNV-MD. RE 20/25 LE 9/200.
Condition/keywords: subretinal neovascularization (SRNV)
-
SRNV-MD
Nov 5 2014 by Howard Schatz, MD
48-year-old white male. SRNV-MD. RE 10/200 and LE 20/20.
Condition/keywords: subretinal neovascularization (SRNV)
-
SRNV-MD
Nov 5 2014 by Howard Schatz, MD
48-year-old white male. SRNV-MD. RE 10/200 LE 20/25.
Condition/keywords: subretinal neovascularization (SRNV)
-
SRNV-MD
Nov 5 2014 by Howard Schatz, MD
48-year-old white male. SRNV-MD. RE 10/200 LE 20/25.
Condition/keywords: subretinal neovascularization (SRNV)
-
SRNV-MD
Nov 5 2014 by Howard Schatz, MD
48-year-old white male. SRNV-MD. RE 10/200 LE 20/50.
Condition/keywords: subretinal neovascularization (SRNV)
-
SRNV-MD
Nov 5 2014 by Howard Schatz, MD
48-year-old white male. SRNV-MD. RE 10/200 LE 20/32.
Condition/keywords: subretinal neovascularization (SRNV)
-
SRNV-MD
Nov 5 2014 by Howard Schatz, MD
48-year-old white male. SRNV-MD. RE 20/320 LE 20/80.
Condition/keywords: subretinal neovascularization (SRNV)
-
SRNV-MD
Nov 5 2014 by Howard Schatz, MD
48-year-old white male. SRNV-MD. RE 20/320 LE 20/80.
Condition/keywords: subretinal neovascularization (SRNV)
-
SRNV-MD
Nov 5 2014 by Howard Schatz, MD
59-year-old white male. SRNV-MD. RE 20/40 LE 20/25.
Condition/keywords: subretinal neovascularization (SRNV)
-
SRNV-MD
Nov 5 2014 by Howard Schatz, MD
61-year-old white male. SRNV-MD. 20/50 OU.
Condition/keywords: subretinal neovascularization (SRNV)
-
SRNV-MD
Nov 5 2014 by Howard Schatz, MD
81-year-old white female. SRNV-MD. 20/50 and 20/200.
Condition/keywords: subretinal neovascularization (SRNV)
-
SRNV-MD
Nov 5 2014 by Howard Schatz, MD
64-year-old white male. SRNV-MD. RE 20/25 LE 20/100.
Condition/keywords: subretinal neovascularization (SRNV)
-
SRNV-MD
Nov 5 2014 by Howard Schatz, MD
64-year-old white male. SRNV-MD. RE 20/25 OU.
Condition/keywords: subretinal neovascularization (SRNV)
-
SRNV-MD
Nov 5 2014 by Howard Schatz, MD
65-year-old white male. SRNV-MD. 20/20 OU.
Condition/keywords: subretinal neovascularization (SRNV)
-
SRNV-MD
Nov 5 2014 by Howard Schatz, MD
39-year-old white male. SRNV-MD. RE 20/128 LE 20/20.
Condition/keywords: subretinal neovascularization (SRNV)
-
SRNV-MD
Nov 5 2014 by Howard Schatz, MD
39-year-old white male. SRNV-MD. RE 20/70 LE 20/15.
Condition/keywords: subretinal neovascularization (SRNV)
-
SRNV-MD
Nov 5 2014 by Howard Schatz, MD
39-year-old white male. SRNV-MD. RE 20/128 LE 20/20.
Condition/keywords: subretinal neovascularization (SRNV)
-
SRNV-MD
Nov 5 2014 by Howard Schatz, MD
69-year-old white male. SRNV-MD. RE 20/40 LE 20/200.
Condition/keywords: subretinal neovascularization (SRNV)
-
SRNV-MD
Nov 5 2014 by Howard Schatz, MD
69-year-old white male. SRNV-MD. RE 20/50 HM1'.
Condition/keywords: subretinal neovascularization (SRNV)
-
SRNV-MD
Nov 5 2014 by Howard Schatz, MD
69-year-old white male. SRNV-MD. RE 20/20 HM 3'.
Condition/keywords: subretinal neovascularization (SRNV)
-
SRNV-MD
Nov 5 2014 by Howard Schatz, MD
69-year-old white male. SRNV-MD. RE 20/50 LE 5/200.
Condition/keywords: subretinal neovascularization (SRNV)
-
SRNV-MD
Nov 5 2014 by Howard Schatz, MD
69-year-old white male. SRNV-MD. RE 20/70 LE 3/200.
Condition/keywords: subretinal neovascularization (SRNV)
-
SRNV-MD
Nov 5 2014 by Howard Schatz, MD
70-year-old white male. SRNV-MD. RE 1/200 LE 10/200.
Condition/keywords: subretinal neovascularization (SRNV)
-
SRNV-MD
Nov 5 2014 by Howard Schatz, MD
70-year-old white male. SRNV-MD. RE 1/200 LE 20/70.
Condition/keywords: subretinal neovascularization (SRNV)
-
SRNV-MD
-
SRNV-MD
-
SRNV-MD
Nov 5 2014 by Howard Schatz, MD
85-year-old white female. SRNV-MD.
Condition/keywords: subretinal neovascularization (SRNV)
-
SRNV-MD
Nov 5 2014 by Howard Schatz, MD
59-year-old white female. SRNV-MD.
Condition/keywords: subretinal neovascularization (SRNV)
-
SRNV-MD
Nov 5 2014 by Howard Schatz, MD
59-year-old white female. SRNV-MD.
Condition/keywords: subretinal neovascularization (SRNV)
-
SRNV-MD
-
SRNV-MD
-
SRNV-MD
-
SRNV-MD
Nov 5 2014 by Howard Schatz, MD
20/30 and 20/15. SRNV-MD.
Condition/keywords: subretinal neovascularization (SRNV)
-
SRNV-MD
Nov 5 2014 by Howard Schatz, MD
SRNV-MD. 20/30.
Condition/keywords: subretinal neovascularization (SRNV)
-
SRNV-MD
Nov 5 2014 by Howard Schatz, MD
32-year-old white male. SRNV-MD.
Condition/keywords: subretinal neovascularization (SRNV)
-
SRNV-MD
-
SRNV-MD
Nov 5 2014 by Howard Schatz, MD
62-year-old white female. SRNV-MD. 10/200 and 20/30.
Condition/keywords: subretinal neovascularization (SRNV)
-
SRNV-MD
Nov 5 2014 by Howard Schatz, MD
58-year-old white male. SRNV-MD. RE 10/200 LE 20/20.
Condition/keywords: subretinal neovascularization (SRNV)
-
SRNV-MD
Nov 5 2014 by Howard Schatz, MD
58-year-old white male. SRNV-MD. RE 10/200 LE 20/32.
Condition/keywords: subretinal neovascularization (SRNV)
-
SRNV-MD
Nov 5 2014 by Howard Schatz, MD
58-year-old white male. SRNV-MD. RE 10/200 LE 20/64.
Condition/keywords: subretinal neovascularization (SRNV)
-
SRNV-MD
Nov 5 2014 by Howard Schatz, MD
58-year-old white male. SRNV-MD. RE 20/320 LE 20/20.
Condition/keywords: subretinal neovascularization (SRNV)
-
SRNV-MD
Nov 5 2014 by Howard Schatz, MD
59-year-old white male. SRNV-MD. RE 20/30 LE 20/160.
Condition/keywords: subretinal neovascularization (SRNV)
-
SRNV-MD
Nov 5 2014 by Howard Schatz, MD
59-year-old white male. SRNV-MD. RE 20/320 LE 20/250.
Condition/keywords: subretinal neovascularization (SRNV)
-
SRNV-MD
Nov 5 2014 by Howard Schatz, MD
60-year-old white male. SRNV-MD. RE 20/250 LE 20/200.
Condition/keywords: subretinal neovascularization (SRNV)
-
SRNV-MD
Nov 5 2014 by Howard Schatz, MD
33-year-old white female. SRNV-MD. 20/15 and 1/200.
Condition/keywords: subretinal neovascularization (SRNV)
-
SRNV-MD
Nov 5 2014 by Howard Schatz, MD
4 days post op. SRNV-MD.
Condition/keywords: subretinal neovascularization (SRNV)
-
SRNV-MD
Nov 5 2014 by Howard Schatz, MD
1 day post-op. SRNV-MD. 20/30. SRNV-MD.
Condition/keywords: subretinal neovascularization (SRNV)
-
SRNV-MD
Nov 5 2014 by Howard Schatz, MD
20/30. SRNV-MD.
Condition/keywords: subretinal neovascularization (SRNV)
-
SRNV-MD
Nov 5 2014 by Howard Schatz, MD
20/20. SRNV-MD.
Condition/keywords: subretinal neovascularization (SRNV)
-
SRNV-MD
Nov 5 2014 by Howard Schatz, MD
20/20 and 20/30. SRNV-MD.
Condition/keywords: subretinal neovascularization (SRNV)
-
SRNV-MD
Nov 5 2014 by Howard Schatz, MD
32-year-old white female. SRNV-MD. 20/40 and 20/30.
Condition/keywords: subretinal neovascularization (SRNV)
-
SRNV-MD
Nov 5 2014 by Howard Schatz, MD
45-year-old white female. SRNV-MD. 10/200 and 20/40-.
Condition/keywords: subretinal neovascularization (SRNV)
-
SRNV-MD
Nov 7 2014 by Howard Schatz, MD
45-year-old white female. SRNV-MD. 10/200 and 20/25.
Condition/keywords: subretinal neovascularization (SRNV)
-
SRNV-MD
Nov 7 2014 by Howard Schatz, MD
60-year-old white male. SRNV-MD. 10/200 and 20/200.
Condition/keywords: subretinal neovascularization (SRNV)
-
SRNV-MD
Nov 7 2014 by Howard Schatz, MD
60-year-old white male. SRNV-MD. 10/200 and 20/70+.
Condition/keywords: subretinal neovascularization (SRNV)
-
SRNV-MD
Nov 7 2014 by Howard Schatz, MD
60-year-old white male. SRNV-MD. 10/200 and 20/100.
Condition/keywords: subretinal neovascularization (SRNV)
-
SRNV-MD
Nov 7 2014 by Howard Schatz, MD
60-year-old white male. SRNV-MD. 20/200 and 20/50-.
Condition/keywords: subretinal neovascularization (SRNV)
-
SRNV-MD
Nov 7 2014 by Howard Schatz, MD
60-year-old white male. SRNV-MD. 10/200 and 20/50.
Condition/keywords: subretinal neovascularization (SRNV)
-
SRNV-MD
Nov 7 2014 by Howard Schatz, MD
60-year-old white male. SRNV-MD. 20/200 and 20/40.
Condition/keywords: subretinal neovascularization (SRNV)
-
SRNV-MD
Nov 7 2014 by Howard Schatz, MD
60-year-old white male. SRNV-MD. 20/200 and 20/50.
Condition/keywords: subretinal neovascularization (SRNV)
-
SRNV-MD
Nov 7 2014 by Howard Schatz, MD
60-year-old white male. SRNV-MD. 20/200 and 20/50.
Condition/keywords: subretinal neovascularization (SRNV)
-
SRNV-MD
Nov 7 2014 by Howard Schatz, MD
44-year-old white female. SRNV-MD.
Condition/keywords: subretinal neovascularization (SRNV)
-
SRNV-MD
Nov 7 2014 by Howard Schatz, MD
46-year-old white female. SRNV-MD. 20/20 and 20/200.
Condition/keywords: subretinal neovascularization (SRNV)
-
SRNV-MD
-
SRNV-MD
-
SRNV-MD
Nov 7 2014 by Howard Schatz, MD
50-year-old white female. SRNV-MD. 20/20 and 20/200.
Condition/keywords: subretinal neovascularization (SRNV)
-
SRNV-MD
Nov 7 2014 by Howard Schatz, MD
50-year-old white female. SRNV-MD.
Condition/keywords: subretinal neovascularization (SRNV)
-
SRNV-MD
Nov 7 2014 by Howard Schatz, MD
45-year-old white male. SRNV-MD. RE 20/32 LE 20/80.
Condition/keywords: subretinal neovascularization (SRNV)
-
SRNV-MD
Nov 7 2014 by Howard Schatz, MD
45-year-old white male. SRNV-MD. RE 20/25 LE 20/50.
Condition/keywords: subretinal neovascularization (SRNV)
-
SRNV-MD
Nov 7 2014 by Howard Schatz, MD
47-year-old white male. SRNV-MD.
Condition/keywords: subretinal neovascularization (SRNV)
-
SRNV-MD
Nov 7 2014 by Howard Schatz, MD
35-year-old white female. SRNV-MD. 20/20 and 20/70.
Condition/keywords: subretinal neovascularization (SRNV)
-
SRNV-MD
Nov 7 2014 by Howard Schatz, MD
35-year-old white female. SRNV-MD. 20/20- and 20/30-.
Condition/keywords: subretinal neovascularization (SRNV)
-
SRNV-MD
Nov 7 2014 by Howard Schatz, MD
30-year-old white male. SRNV-MD. RE 20/50 LE 20/25.
Condition/keywords: subretinal neovascularization (SRNV)
-
SRNV-MD
Nov 7 2014 by Howard Schatz, MD
30-year-old white male. SRNV-MD. RE 20/100 LE 20/20.
Condition/keywords: subretinal neovascularization (SRNV)
-
SRNV-MD
Nov 7 2014 by Howard Schatz, MD
22-year-old white female. SRNV-MD. 20/70- and 20/20.
Condition/keywords: subretinal neovascularization (SRNV)
-
SRNV-MD
Nov 7 2014 by Howard Schatz, MD
22-year-old white female. SRNV-MD. 20/70 and 20/20-.
Condition/keywords: subretinal neovascularization (SRNV)
-
SRNV-MD
Nov 7 2014 by Howard Schatz, MD
22-year-old white female. SRNV-MD. 20/70- and 20/20.
Condition/keywords: subretinal neovascularization (SRNV)
-
SRNV-MD
-
SRNV-MD
-
SRNV-MD
Nov 7 2014 by Howard Schatz, MD
53-year-old white male. SRNV-MD. RE 20/40 LE 20/200.
Condition/keywords: subretinal neovascularization (SRNV)
-
SRNV-MD
Nov 7 2014 by Howard Schatz, MD
27-year-old white female. SRNV-MD. RE 20/20 LE 20/40.
Condition/keywords: subretinal neovascularization (SRNV)
-
SRNV-MD
Nov 7 2014 by Howard Schatz, MD
27-year-old white male. SRNV-MD. RE 20/20 LE 20/25.
Condition/keywords: subretinal neovascularization (SRNV)
-
SRNV-MD
Nov 7 2014 by Howard Schatz, MD
57-year-old white female. SRNV-MD. RE 20/25 LE 20/70.
Condition/keywords: subretinal neovascularization (SRNV)
-
SRNV-MD
-
SRNV-MD
Nov 7 2014 by Howard Schatz, MD
38-year-old white female. SRNV-MD. RE 2/200 LE 20/64.
Condition/keywords: subretinal neovascularization (SRNV)
-
SRNV-MD
Nov 7 2014 by Howard Schatz, MD
38-year-old white female. SRNV-MD. RE 20/320 LE 20/10.
Condition/keywords: subretinal neovascularization (SRNV)
-
SRNV-MD
Nov 7 2014 by Howard Schatz, MD
38-year-old white female. SRNV-MD. RE 20/320 LE 20/128.
Condition/keywords: subretinal neovascularization (SRNV)
-
SRNV-MD
Nov 7 2014 by Howard Schatz, MD
38-year-old white female. SRNV-MD. RE 10/200 LE 20/64.
Condition/keywords: subretinal neovascularization (SRNV)
-
SRNV-MD
Nov 7 2014 by Howard Schatz, MD
34-year-old white male. SRNV-MD. 20/15 OU.
Condition/keywords: subretinal neovascularization (SRNV)
-
SRNV-MD
Nov 7 2014 by Howard Schatz, MD
35-year-old white male. SRNV-MD. 20/15 OU.
Condition/keywords: subretinal neovascularization (SRNV)
-
SRNV-MD
Nov 7 2014 by Howard Schatz, MD
35-year-old white male. SRNV-MD. 20/15 OU.
Condition/keywords: subretinal neovascularization (SRNV)
-
SRNV-MD
Nov 7 2014 by Howard Schatz, MD
36-year-old white male. SRNV-MD. 20/15 OU.
Condition/keywords: subretinal neovascularization (SRNV)
-
SRNV-MD
Nov 7 2014 by Howard Schatz, MD
47-year-old white male. SRNV-MD. 20/20 OU.
Condition/keywords: subretinal neovascularization (SRNV)
-
SRNV-MD
Nov 7 2014 by Howard Schatz, MD
40-year-old white male. SRNV-MD. 20/30 and 4/200.
Condition/keywords: subretinal neovascularization (SRNV)
-
SRNV-MD
Nov 7 2014 by Howard Schatz, MD
41-year-old white female. SRNV-MD. 20/20- and 20/30.
Condition/keywords: subretinal neovascularization (SRNV)
-
SRNV-MD
Nov 7 2014 by Howard Schatz, MD
41-year-old white female. SRNV-MD. 1-3: 20/30 and 20/40; 4-6: 20/30-1 and 20/30-3.
Condition/keywords: subretinal neovascularization (SRNV)
-
SRNV-MD
-
SRNV-MD
-
SRNV-MD
-
SRNV-MD
Nov 7 2014 by Howard Schatz, MD
55-year-old white male. SRNV-MD. RE 6/200 LE 20/32.
Condition/keywords: subretinal neovascularization (SRNV)
-
SRNV-MD
Nov 7 2014 by Howard Schatz, MD
55-year-old white male. SRNV-MD. RE 10/200 LE 20/32.
Condition/keywords: subretinal neovascularization (SRNV)
-
SRNV-MD
Nov 7 2014 by Howard Schatz, MD
55-year-old white male. SRNV-MD. RE 10/200 LE 20/40.
Condition/keywords: subretinal neovascularization (SRNV)
-
SRNV-MD
Nov 7 2014 by Howard Schatz, MD
55-year-old white male. SRNV-MD. RE 10/200 E 20/32.
Condition/keywords: subretinal neovascularization (SRNV)
-
SRNV-MD
Nov 7 2014 by Howard Schatz, MD
55-year-old white male. SRNV-MD. RE 10/200 LE 20/25.
Condition/keywords: subretinal neovascularization (SRNV)
-
SRNV-MD
Nov 7 2014 by Howard Schatz, MD
56-year-old white male. SRNV-MD. RE 20/250 LE 20/20.
Condition/keywords: subretinal neovascularization (SRNV)
-
SRNV-MD
Nov 7 2014 by Howard Schatz, MD
34-year-old white female. SRNV-MD. 20/100.
Condition/keywords: subretinal neovascularization (SRNV)
-
SRNV-MD
Nov 7 2014 by Howard Schatz, MD
34-year-old white female. SRNV-MD. 20/100.
Condition/keywords: subretinal neovascularization (SRNV)
-
SRNV-MD
-
SRNV-MD
-
SRNV-MD
Nov 7 2014 by Howard Schatz, MD
SRNV-MD. 20/20 and 10/200.
Condition/keywords: subretinal neovascularization (SRNV)
-
SRNV-MD
Nov 7 2014 by Howard Schatz, MD
39-year-old white female. SRNV-MD. 20/15- and 20/200.
Condition/keywords: subretinal neovascularization (SRNV)
-
SRNV-MD
Nov 7 2014 by Howard Schatz, MD
39-year-old white female. SRNV-MD. 20/20 and 10/200.
Condition/keywords: subretinal neovascularization (SRNV)
-
SRNV-MD
Nov 7 2014 by Howard Schatz, MD
69-year-old black male. SRNV-MD. RE 8/200 LE 20/50.
Condition/keywords: subretinal neovascularization (SRNV)
-
SRNV-MD
Nov 7 2014 by Howard Schatz, MD
28-year-old white female. SRNV-MD. 1-3: 5/200- and 20/50-; 4-6: 20/200- and 20/30.
Condition/keywords: subretinal neovascularization (SRNV)
-
SRNV-MD
Nov 7 2014 by Howard Schatz, MD
32-year-old white male. SRNV-MD. RE 20/32 LE 20/25.
Condition/keywords: subretinal neovascularization (SRNV)
-
SRNV-MD
Nov 7 2014 by Howard Schatz, MD
SRNV-MD. 20/15 and 1/200 and then 20/15 and 1/200.
Condition/keywords: subretinal neovascularization (SRNV)
-
SRNV-MD
Nov 7 2014 by Howard Schatz, MD
30-year-old white female. SRNV-MD. 20/20 and 20/50.
Condition/keywords: subretinal neovascularization (SRNV)
-
SRNV-MD
Nov 7 2014 by Howard Schatz, MD
1 day post-op 20/70. SRNV-MD
Condition/keywords: subretinal neovascularization (SRNV)
-
SRNV-MD
Nov 7 2014 by Howard Schatz, MD
2.5 weeks post laser. 20/50. SRNV-MD.
Condition/keywords: subretinal neovascularization (SRNV)
-
SRNV-MD
-
SRNV-MD
Nov 7 2014 by Howard Schatz, MD
40-year-old white female. SRNV-MD. RE 5/200 LE 20/100.
Condition/keywords: subretinal neovascularization (SRNV)
-
SRNV-MD
-
SRNV-MD
Nov 7 2014 by Howard Schatz, MD
60-year-old white male. SRNV-MD. 10/200 and 20/50.
Condition/keywords: subretinal neovascularization (SRNV)
-
SRNV-MD
Nov 7 2014 by Howard Schatz, MD
38-year-old white male. SRNV-MD. 20/70 and 20/15.
Condition/keywords: subretinal neovascularization (SRNV)
-
SRNV-MD
Nov 7 2014 by Howard Schatz, MD
38-year-old white male. SRNV-MD.
Condition/keywords: subretinal neovascularization (SRNV)
-
SRNV-MD
Nov 7 2014 by Howard Schatz, MD
38-year-old white male. SRNV-MD. 20/70 and 20/15.
Condition/keywords: subretinal neovascularization (SRNV)
-
SRNV-MD
Nov 7 2014 by Howard Schatz, MD
30-year-old white female. SRNV-MD. 1-3: 10/200 and 20/15+; 4-6: 20/70 and 20/15-.
Condition/keywords: subretinal neovascularization (SRNV)
-
SRNV-MD
Nov 7 2014 by Howard Schatz, MD
30-year-old white female. SRNV-MD. 20/70- and 20/100-.
Condition/keywords: subretinal neovascularization (SRNV)
-
SRNV-MD
Nov 7 2014 by Howard Schatz, MD
30-year-old white female. SRNV-MD. 1-3=2: 10/200 and 20/13+; 3-5: -20/70 and 20/15-.
Condition/keywords: subretinal neovascularization (SRNV)
-
SRNV-MD
Nov 7 2014 by Howard Schatz, MD
30-year-old white female. SRNV-MD. 10/200 and 20/15.
Condition/keywords: subretinal neovascularization (SRNV)
-
SRNV-MD
Nov 7 2014 by Howard Schatz, MD
54-year-old white male. SRNV-MD. Re 20/100 LE 20/15.
Condition/keywords: subretinal neovascularization (SRNV)
-
SRNV-MD
Nov 7 2014 by Howard Schatz, MD
55-year-old white male. SRNV-MD. RE 20/200 LE 20/15.
Condition/keywords: subretinal neovascularization (SRNV)
-
SRNV-MD
Nov 7 2014 by Howard Schatz, MD
25-year-old white male. SRNV-MD. 20/15- and 20/30-.
Condition/keywords: subretinal neovascularization (SRNV)
-
SRNV-MD
Nov 7 2014 by Howard Schatz, MD
1-3: 70/30- and 20/100-; 4-6: 20/20 and 20/70+. SRNV-MD.
Condition/keywords: subretinal neovascularization (SRNV)
-
SRNV-MD
Nov 7 2014 by Howard Schatz, MD
1-3: 20/30 and 20/20+; 4-6: 20/30 and 20/40-. SRNV-MD
Condition/keywords: subretinal neovascularization (SRNV)
-
SRNV-MD
-
SRNV-MD
Nov 7 2014 by Howard Schatz, MD
62-year-old white male. SRNV-MD.
Condition/keywords: subretinal neovascularization (SRNV)
-
SRNV-MD
Nov 7 2014 by Howard Schatz, MD
53-year-old white female. SRNV-MD.
Condition/keywords: subretinal neovascularization (SRNV)
-
SRNV-MD
Nov 7 2014 by Howard Schatz, MD
43-year-old white male. SRNV-MD.
Condition/keywords: subretinal neovascularization (SRNV)
-
SRNV-MD
Nov 7 2014 by Howard Schatz, MD
SRNV-MD. 20/80 OU.
Condition/keywords: subretinal neovascularization (SRNV)
-
SRNV-MD
Nov 7 2014 by Howard Schatz, MD
49-year-old white male. SRNV-MD. RE 20/20 LE 20/100.
Condition/keywords: subretinal neovascularization (SRNV)
-
SRNV-MD
Nov 7 2014 by Howard Schatz, MD
49-year-old white male. SRNV-MD. RE 20/50 LE 20/80.
Condition/keywords: subretinal neovascularization (SRNV)
-
SRNV-MD
Nov 7 2014 by Howard Schatz, MD
49-year-old white male. SRNV-MD. RE 20/50 LE 20/80.
Condition/keywords: subretinal neovascularization (SRNV)
-
SRNV-MD
-
SRNV-MD
Nov 7 2014 by Howard Schatz, MD
48-year-old white male. SRNV-MD. 20/25 and 20/15.
Condition/keywords: subretinal neovascularization (SRNV)
