-
By Howard Schatz, MD
- Uploaded on Nov 5, 2014.
- Last modified by Chayal Patel on Nov 5, 2014.
- Rating
- Appears in
- SRNVMD
- Condition/keywords
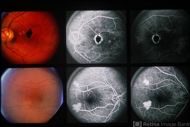
- subretinal neovascularization (SRNV)
- Description
- 45-year-old white male. SRNV-MD. RE 20/13 LE 20/25.

Initializing download.