-
By Howard Schatz, MD
- Uploaded on Oct 28, 2014.
- Last modified by Chayal Patel on Oct 28, 2014.
- Rating
- Appears in
- SRNVMD
- Condition/keywords
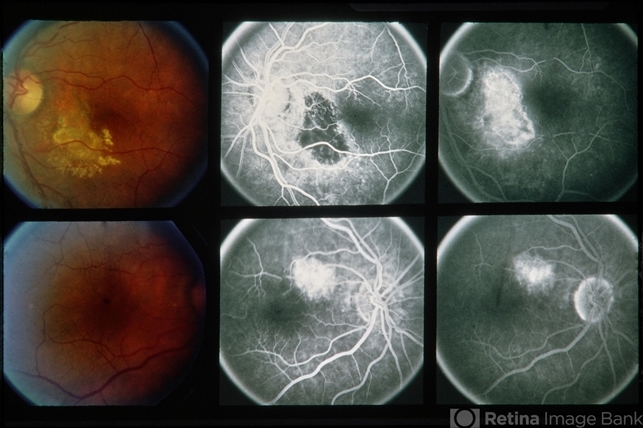
- subretinal neovascularization (SRNV)
- Description
- 75-year-old white female. SRNV-MD. 20/50-2 and 20/30-3.

Initializing download.