-
By Howard Schatz, MD
- Uploaded on Oct 23, 2014.
- Last modified by Chayal Patel on Oct 23, 2014.
- Rating
- Appears in
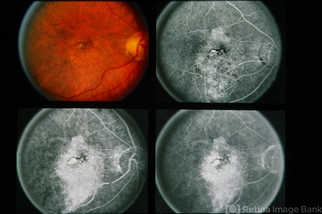
- SRNVMD
- Condition/keywords
- subretinal neovascularization (SRNV)
- Description
- 75-year-old white female. SRNV-MD. RE 8/200 LE 20/25.

Initializing download.