- 
            
             By Zach Seim By Zach Seim
 Retina Specialists of Michigan
 Co-author(s): Gregory Bever, M.D
- Uploaded on Jun 15, 2022.
- Last modified by Joshua Friedman on Jun 20, 2022.
- Rating
- Appears in
- Miscellaneous
- Condition/keywords
- vitreomacular traction (VMT), optical coherence tomography (OCT), vitreomacular adhesion, vitreomacular interface disorders, OD, right eye, heidelberg spectralis, subretinal fluid
- Photographer
- Zach Seim
- Imaging device
- 
                Optical coherence tomography system
                
 Heidelberg Spectralis
- Description
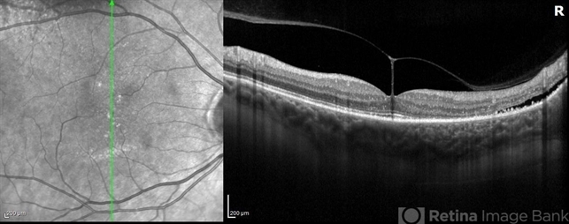
- Optical Coherence Tomography (OCT) of a 69 year old male with Vitreomacular Traction affecting his right eye. Patient was referred to this office for Choroidal Melanoma in his right eye in May 2021. The patient was treated with Brachytherapy in July 2021 and this OCT was taken at a follow-up appointment in May 2022. Patient's vision was 20/30-2 at the time this OCT was taken. Patient states that his vision was better since his last visit, and that he sees floaters occasionally.

 
        
 Initializing download.
                Initializing download. 
             
             
             
             
             
             
             
             
             
             
            