-
By Nassim Alejandro Abreu Arbaje, MD
Hospital Elias Santana - Uploaded on Apr 7, 2022.
- Last modified by Joshua Friedman on Apr 12, 2022.
- Rating
- Appears in
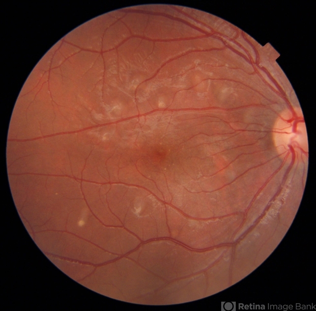
- Macular dystrophy
- Condition/keywords
- Autosomal recessive bestrophinopathy
- Photographer
- Nassim Abreu
- Imaging device
-
Fundus camera
Topcon Triton Plus - Description
- Color fundus photo of a 22 year old boy with foveal pigment changes and some creamy white lesions associated with localized serous detachment.

Initializing download.