-
By Ethan K Sobol, MD
The Retina Group of Washington - Uploaded on Jun 11, 2023.
- Last modified by Joshua Friedman on Jun 12, 2023.
- Rating
- Appears in
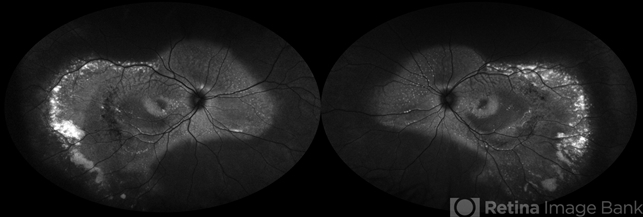
- Autosomal Recessive Best Disease
- Condition/keywords
- Best disease, Autosomal recessive bestrophinopathy
- Description
- Fundus autofluorescence imaging of a patient with autosomal recessive Best disease

Initializing download.