-
By T. P . VIGNESH, MBBS,MS
Aravind eye hospital - Uploaded on Mar 21, 2022.
- Last modified by Joshua Friedman on Aug 4, 2022.
- Image of the week
-
Aug 7, 2022
View all images of the week - Rating
- Appears in
- Chorioretinal coloboma and Optic disc pit
- Condition/keywords
- chorioretinal coloboma, coloboma of optic disc
- Photographer
- Bharathi Singaravel
- Imaging device
-
Fundus camera
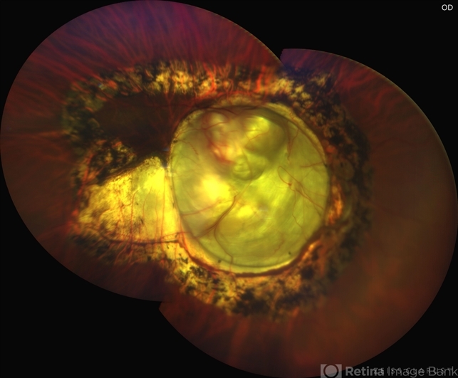
Zeiss Clarus - Description
- Fundus photo of Right eye of a 55 year male patient revealing a fovea sparing well barraged chorioretinal coloboma involving the disc and the macula .

Initializing download.