A 55 year old male patient, with chorioretinal cololboma in the right eye and optic disc pit with foveal schisis in the left eye .
-
Angioid Streaks
Mar 18 2025 by T. P . VIGNESH, MBBS,MS
Fundus photograph of a 42-year-old woman with Angioid Streaks and scarred CNVM.
Photographer: Sivanath
Imaging device: EIDON
Condition/keywords: Angioid Streaks
-
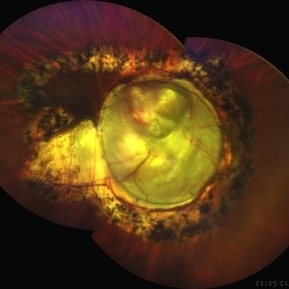
Chorioretinal coloboma involving disc and macula
Mar 21 2022 by T. P . VIGNESH, MBBS,MS
Fundus photo of Right eye of a 55 year male patient revealing a fovea sparing well barraged chorioretinal coloboma involving the disc and the macula .
Photographer: Bharathi Singaravel
Imaging device: Zeiss Clarus
Condition/keywords: chorioretinal coloboma, coloboma of optic disc
-
Optic disc pit
Mar 21 2022 by T. P . VIGNESH, MBBS,MS
Fundus photo of Left eye of a 55 year male patient revealing optic disc pit with temporal barrage laser marks and foveal schisis with RPE atrophic changes.
Photographer: Bharathi Singaravel
Imaging device: Zeiss Clarus
Condition/keywords: Optic disc pit
