-
By Maxwell J Wingelaar, MD
Eye Clinic of Wisconsin
Co-author(s): Kevin J Blinder, MD - Uploaded on Nov 14, 2021.
- Last modified by Jennifer Carstens on Feb 11, 2022.
- Image of the week
-
Feb 13, 2022
View all images of the week - Rating
- Appears in
- Miscellaneous
- Condition/keywords
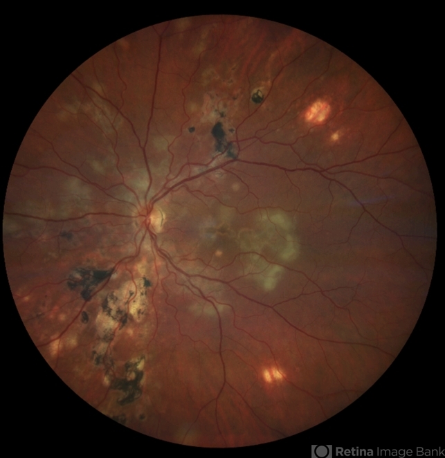
- serpiginous choroiditis
- Description
- An image showing active Serpiginous Choroiditis.

Initializing download.