-
By Hamid Ahmadieh, MD
Labbafinejad Medical Center
Co-author(s): Touka Banaee, MD. Mashhad University of Medical Sciences - Uploaded on Jul 13, 2013.
- Last modified by Caroline Bozell on Jul 15, 2013.
- Rating
- Appears in
- Miscellaneous
- Condition/keywords
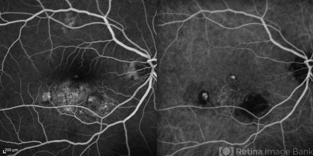
- polypoidal choroidal vasculopathy (PCV), indocyanine green (ICG) angiography
- Photographer
- Elham Salehi, Negah Eye Center, Tehran
- Imaging device
- Heidelberg Spectralis
- Description
- FA and ICG images of the right eye of a 55-year-old woman with decreased vision and metamorphopsia due to PCV.

Initializing download.