-
By Hamid Ahmadieh, MD
Labbafinejad Medical Center - Uploaded on Sep 11, 2012.
- Last modified by Hamid Ahmadieh, MD on Sep 11, 2012.
- Rating
- Appears in
- Miscellaneous
- Condition/keywords
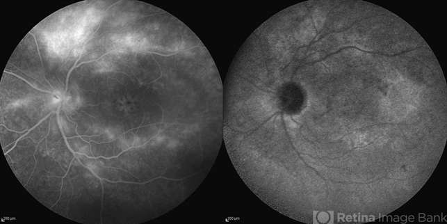
- intermediate uveitis, cystoid macular edema (CME), indocyanine green (ICG) angiography
- Photographer
- Hamid Ahmadieh, MD, Ophthalmic Research Center, Labbafinejad Medical Center, Shahid Beheshti University of Medical Sciences
- Imaging device
- Heidelberg Spectralis
- Description
- Late phase FA & ICG angiography imagings of the left eye a 17-year-old boy with CME & retinal periphlebitis secondary to chronic intermediate uveitis.

Initializing download.