-
By Darin R. Goldman, MD
Retina Group of Florida
Co-author(s): Larry Halperin, MD (Primary Author), Retina Group of Florida - Uploaded on Jul 24, 2020.
- Last modified by Caroline Bozell on Jul 28, 2020.
- Rating
- Appears in
- 24-Jul-2020
- Condition/keywords
- intravitreal injection, intravitreal, anti-VEGF
- Photographer
- Alberto Velez, Retina Group of Florida
- Imaging device
-
Fundus camera
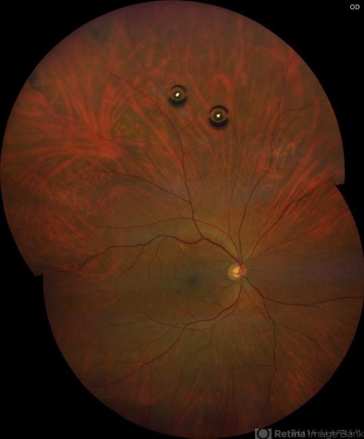
Zeiss Clarus - Description
- Widefield fundus photograph of a 56-year-old male patient immediately following intravitreal anti-VEGF injection. Two air bubbles are visible within the mid-vitreous cavity.

Initializing download.