-
By Aristofanes Canamary jr
Paulista’s Ophthalmology Unity
Co-author(s): Aristófanes Canamary Jr. - Uploaded on Jan 31, 2019.
- Last modified by Caroline Bozell on Jan 31, 2019.
- Rating
- Appears in
- 31-Jan-2019
- Condition/keywords
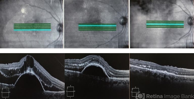
- polypoidal choroidal vasculopathy (PCV), optical coherence tomography (OCT), intravitreal
- Photographer
- Fábio Canamary
- Imaging device
- Optical coherence tomography system
- Description
- OCT of polypoidal choroidal vasculopathy before and after treatment.

Initializing download.