-
By Hamid Ahmadieh, MD
Labbafinejad Medical Center - Uploaded on Mar 13, 2013.
- Last modified by Caroline Bozell on Mar 15, 2013.
- Reviewed by Caroline Bozell
- Rating
- Appears in
- Miscellaneous
- Condition/keywords
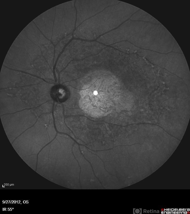
- infrared image, Stargardt disease
- Photographer
- Nayereh Hadipoor, Negah Eye Center, Tehran
- Imaging device
- Heidelberg Spectralis
- Description
- Infrared image of the right eye of a 46-year-old man with decreased VA due to advanced Stargardts disease.

Initializing download.