- 
            
             By Hamid Ahmadieh, MD By Hamid Ahmadieh, MD
 Labbafinejad Medical Center
- Uploaded on Mar 9, 2013.
- Last modified by Hamid Ahmadieh, MD on Mar 15, 2013.
- Reviewed by Hamid Ahmadieh, MD
- Rating
- Appears in
- Miscellaneous
- Condition/keywords
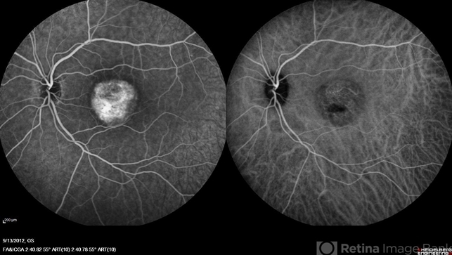
- Best disease, indocyanine green (ICG) angiography
- Photographer
- Soodabeh Fooladin, Negah Eye Center, Tehran
- Imaging device
- Heidelberg Spectralis
- Description
- FA and ICG Angiography of the left eye of a 49-year-old man with advanced Best disease.

 
        
 Initializing download.
                Initializing download. 
             
             
             
             
             
             
             
             
             
             
            