-
By Robin Ray, MD
Georgia Eye Institute of the Southeast - Uploaded on Aug 26, 2012.
- Last modified by Jennifer Hicks on Sep 11, 2012.
- Rating
- Appears in
- Unilateral Acute Idiopathic Maculopathy
- Condition/keywords
- chorioretinal inflammations, unilateral acute idiopathic maculopathy, Coxsackie
- Photographer
- Kidron Robertson, Georgia Eye Institute of the Southeast, Savannah, GA
- Imaging device
-
Optical coherence tomography system
Heidelberg Spectralis - Description
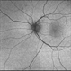
- Infrared photo shows subtle RPE changes on inferior edge of fovea. OCT does not show any significant RPE or IS/OS disruption.

Initializing download.