- 
            
            
            By Thomas A. Ciulla, MD, MBA, FASRS
            
Indiana University School of Medicine - Uploaded on Nov 24, 2019.
 - Last modified by Caroline Bozell on Nov 26, 2019.
 
- Rating
 - Appears in
 - Enough PRP
 - Condition/keywords
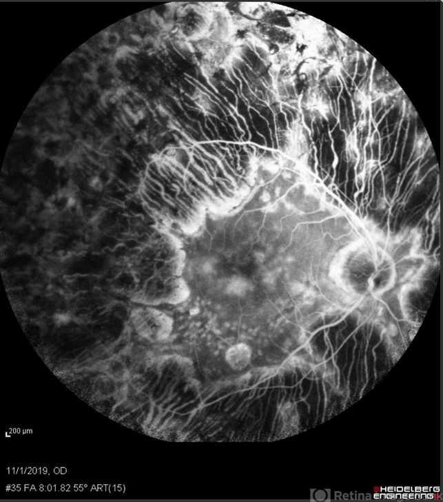
 - proliferative diabetic retinopathy (PDR), laser photocoagulation, laser injury
 - Imaging device
 - Scanning laser ophthalmoscope
 - Description
 - Fluorescein angiogram from a 71-year-old woman who underwent numerous sessions of pan retinal laser photocoagulation for proliferative diabetic retinopathy in the remote past. Note the widespread severe secondary atrophy, with only the central macular RPE remaining. Note the choroidal vessels through the diffuse window defect in the peripheral macula and near periphery.
 

        
                Initializing download.