- 
            
             By Aditya S Kelkar, MS, FRCS, FASRS,FRCOphth By Aditya S Kelkar, MS, FRCS, FASRS,FRCOphth
 NATIONAL INSTITUTE OF OPHTHALMOLOGY
 Co-author(s): Dr. Jai Kelkar. Dr. Vikrant Narwadr
- Uploaded on Nov 12, 2019.
- Last modified by Caroline Bozell on Nov 14, 2019.
- Rating
- Appears in
- Miscellaneous
- Condition/keywords
- myelinated nerve fibers
- Photographer
- Dr. Vikrant Narwade
- Imaging device
- Fundus camera
- Description
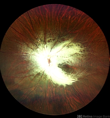
- Left eye fundus photograph of a 29-year-old male with extensive myelinated retinal nerve fibers appearing as grey white opaque lesions on the retina with feathery edges obscuring the retina.

 
        
 Initializing download.
                Initializing download. 
             
             
            ---thumb.jpg/image-square;max$79,0.ImageHandler) 
             
             
             
             
            ---thumb.jpg/image-square;max$79,0.ImageHandler) 
             
             
            