-
By Navneet Mehrotra, DNB
Retina Care and Retina Foundation - Uploaded on Oct 26, 2019.
- Last modified by Caroline Bozell on Mar 20, 2020.
- Image of the week
-
Mar 22, 2020
View all images of the week - Rating
- Appears in
- Miscellaneous
- Condition/keywords
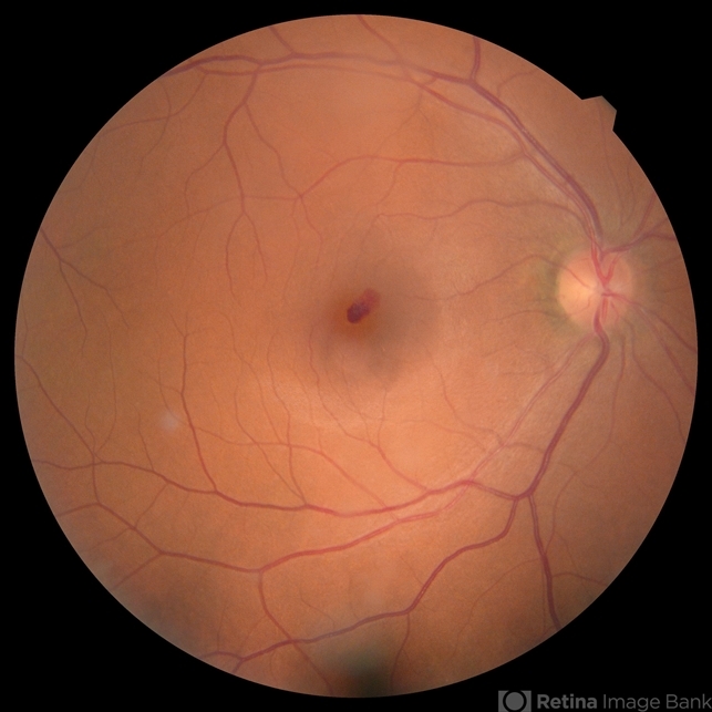
- subILM hemorrhage, hypertension
- Photographer
- Navneet Mehrotra
- Imaging device
-
Fundus camera
NidekRS330 - Description
- 44-year-old hypertensive male with sudden decrease in vision showing small sub ILM hemorrhage at macula.

Initializing download.