-
By McGill University Health Centre
The MUHC-McGill University
Co-author(s): Miguel N. Burnier, McGill University Health Center-McGill University Ocular Pathology & Translational Research Laboratory - Uploaded on Oct 9, 2019.
- Last modified by Caroline Bozell on Feb 14, 2020.
- Image of the week
-
Feb 16, 2020
View all images of the week - Rating
- Appears in
- Retinoblastoma
- Condition/keywords
- retinoblastoma, histopathology
- Photographer
- Miguel N. Burnier, McGill University Health Center-McGill University Ocular Pathology & Translational Research Laboratory
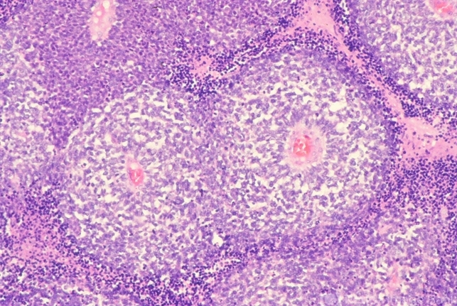
- Description
- Histopathology of retinoblastoma displaying the typical sleeve pattern of the neoplastic cells around blood vessels.

Initializing download.