3 month-old boy was noticed to have a pupillary reflexion on his left eye. A diagnosis of bilateral retinoblastoma was made and the left eye was enucleated. The small tumor on the right eye was treated with radiation. Imaging of the brain revealed a tumor in the region of the choroid plexus consistent with a choroid plexus carcinoma. A removal of the brain tumor was attempted
-
Retinoblastoma
Oct 9 2019 by McGill University Health Centre
Bilateral retinoblastoma in a 3-month-old baby boy . Small peripheral whitish retinal lesions.
Photographer: Miguel N. Burnier, McGill University Health Center-McGill University Ocular Pathology & Translational Research Laboratory
Condition/keywords: retinoblastoma
-
Retinoblastoma
Oct 9 2019 by McGill University Health Centre
Bilateral retinoblastoma in a 3 month-old baby boy. Large peripheral whitish lesion.
Photographer: Miguel N. Burnier, McGill University Health Center-McGill University Ocular Pathology & Translational Research Laboratory
Condition/keywords: retinoblastoma
-
Retinoblastoma
Oct 9 2019 by McGill University Health Centre
Bilateral retinoblastoma in a 3-month-old baby boy. Histopathology of the large blue cell retinal tumor
Photographer: Miguel N. Burnier, McGill University Health Center-McGill University Ocular Pathology & Translational Research Laboratory
Condition/keywords: histopathology, retinoblastoma
-
Retinoblastoma
Oct 9 2019 by McGill University Health Centre
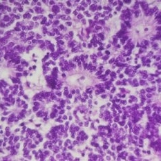
Bilateral retinoblastoma in a 3-month-old baby boy . High power field of retinoblastoma showing multiple rosettes.
Photographer: Miguel N. Burnier, McGill University Health Center-McGill University Ocular Pathology & Translational Research Laboratory
Condition/keywords: Flexner-Wintersteiner rosettes, histopathology, retinoblastoma
-
Retinoblastoma
Oct 9 2019 by McGill University Health Centre
Bilateral retinoblastoma in a 3-month-old baby boy. Histopathology of the small retinoblastoma.
Photographer: Miguel N. Burnier, McGill University Health Center-McGill University Ocular Pathology & Translational Research Laboratory
Condition/keywords: histopathology, retinoblastoma
-
Retinoblastoma
Oct 9 2019 by McGill University Health Centre
Enucleated eye of a pediatric patient showing a total retinal detachment and a large exophytic retinoblastoma.
Photographer: Miguel N. Burnier, McGill University Health Center-McGill University Ocular Pathology & Translational Research Laboratory
Condition/keywords: exophytic, gross pathology, retinoblastoma
-
Retinoblastoma
Oct 9 2019 by McGill University Health Centre
Enucleated eye of a pediatric patient showing a total retinal detachment and a large exophytic retinoblastoma. Total involvement of the optic nerve parenchyma by the retinoblastoma.
Photographer: Miguel N. Burnier, McGill University Health Center-McGill University Ocular Pathology & Translational Research Laboratory
Condition/keywords: exophytic, histopathology, retinoblastoma
-
Retinoblastoma
Oct 9 2019 by McGill University Health Centre
Gross pathology of enucleated eye of a pediatric patient showing a retinoblastoma represented by an elevated whitish mass.
Photographer: Miguel N. Burnier, McGill University Health Center-McGill University Ocular Pathology & Translational Research Laboratory
Condition/keywords: gross pathology, retinoblastoma
-
Retinoblastoma
Oct 9 2019 by McGill University Health Centre
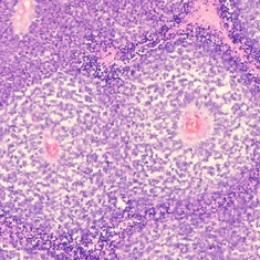
Histopathology of retinoblastoma displaying the typical sleeve pattern of the neoplastic cells around blood vessels.
Photographer: Miguel N. Burnier, McGill University Health Center-McGill University Ocular Pathology & Translational Research Laboratory
Condition/keywords: histopathology, retinoblastoma
-
Retinoblastoma
May 18 2020 by McGill University Health Centre
Retinoblastoma is the most frequent intraocular tumor in children. It usually affects patients younger than 2 years. Leukocoria is the major clinical sign. The tumor arises in the sensory retina, and can be endophytic, exophytic, or diffuse. The molecular signature is the inactivation of both copies of the retinoblastoma gene on chromosome 13. In this enucleation specimen, the eye is sectioned to show the posterior pole and above the optic nerve, revealing an endophytic tumor; the rest of the retina is diffusely infiltrated. Note the retinal vessels overlying the area of the tumor.
Condition/keywords: retinoblastoma
-
Mixed Retinoblastoma
May 18 2020 by McGill University Health Centre
This enucleation specimen shows a whitish, thickened area of the neurosensory retina over the head of the optic nerve, corresponding to a mixed retinoblastoma. Snowballlike structures are present in the vitreous chamber overlying the tumor, corresponding to vitreous seeding. A retinal detachment artifact is present.
Condition/keywords: mixed, retinoblastoma
-
Exo-Endophytic Retinoblastoma
May 18 2020 by McGill University Health Centre
An exo-endophytic tumor is located on the optic nerve head and has produced a retinal detachment. Note the proteinaceous subretinal fluid. The optic nerve is thickened due to retinoblastoma infiltration.
Condition/keywords: enucleation, retinoblastoma
-
Exophytic Retinoblastoma
May 18 2020 by McGill University Health Centre
This type of tumor grows from the retina toward the choroid. In this enucleation specimen, the retina is completely detached, and the tumor is growing inside the subretinal proteinaceous fluid. Note the distance between the tumor and the optic nerve head.
Condition/keywords: enucleation, retinoblastoma
-
Endophytic Retinoblastoma
May 18 2020 by McGill University Health Centre
Image (A) shows an endophytic grayish tumor located on the retina of this enucleation specimen (arrow). Higher magnification of the same specimen (B) shows small hemorrhagic areas (arrow). The choroidal layer is not compromised.
Condition/keywords: enucleation, retinoblastoma
