
File number: 366
Comments
-
James B. Soque, CRA, OCT-C, COA, FOPS (February 1 2014)
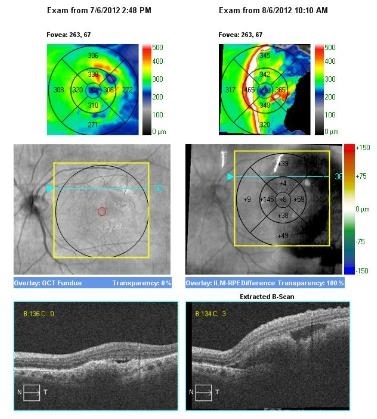
Excellent montage Kristin of this unfortunate patient with their recurrent sub retinal hemorrhage. It truly shows your excellent communication and capturing skills in a difficult patient with very compromised vision. This patients' Subretinal hyper reflectivity is on the radar for most of our reading centers, as of late.
Sign in to comment.
-
By John S. King, MD
Retina Associates, PA - Uploaded on Aug 24, 2012.
- Last modified by John S. King, MD on Jul 1, 2014.
- Rating
- Appears in
- SRH AMD PPV TPA recurrences
- Condition/keywords
- subretinal hemorrhage
- Photographer
- Kristin Konecki, OcuSight Eye Care Center, Rochester, NY
- Imaging device
- Optical coherence tomography system
- Description
- Recurrent SRH 6m s/p subretinal tPA and regular anti-VEGF.