-
By John S. King, MD
Retina Associates, PA
Co-author(s): John King, MD - Uploaded on Aug 24, 2012.
- Last modified by Jennifer Hicks on Sep 4, 2012.
- Rating
- Appears in
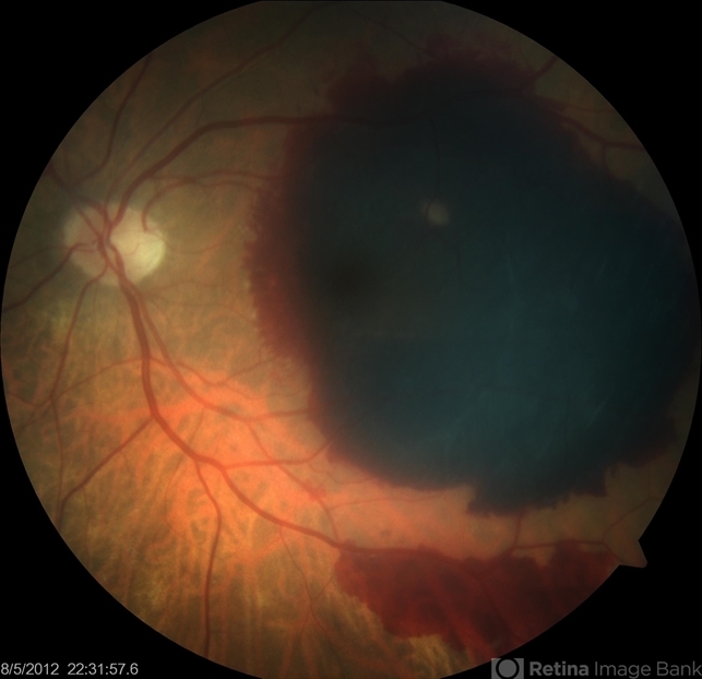
- SRH AMD PPV TPA recurrences
- Condition/keywords
- subretinal hemorrhage, EYLEA
- Photographer
- Kristin Konecki, OcuSight Eye Care Center, Rochester, NY
- Imaging device
- Fundus camera
- Description
- Six months after subretinal tPA and regular antiVEGF, last of which was Eylea, there was a recurrent hemorrhage, and acuity drop from 20/50 to HM; discussed repeat subretinal tPA.

Initializing download.