-
By Gary R. Cook, MD, FACS
- Uploaded on Mar 27, 2019.
- Last modified by Caroline Bozell on Aug 2, 2019.
- Rating
- Appears in
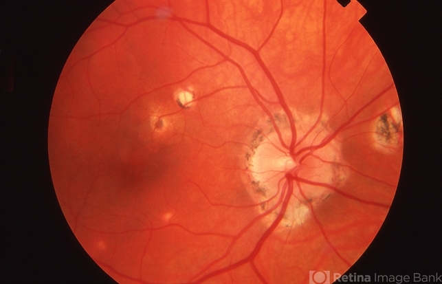
- HISTOPLASMOSIS WITH CNVM
- Condition/keywords
- histoplasmosis, presumed ocular histoplasmosis syndrome (POHS), atrophic spot, peripapillary atrophy
- Imaging device
-
Fundus camera
Topcon VT-50 - Description
- Fellow eye (OD) of a 41-year-old white female with ocular histoplasmosis showing peripapillary atrophy and several atrophic histo spots OD; no CNVM present; V.A.= 20/20.

Initializing download.