-
By Lancaster Course in Ophthalmology
1980 - Uploaded on Mar 4, 2019.
- Last modified by Caroline Bozell on Mar 12, 2019.
- Rating
- Appears in
- Unit 13 Retinoblastoma and Pseudoglioma
- Condition/keywords
- anterior synechiae
- Description
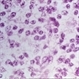
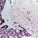
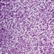
- Total anterior synechia in an eye with retinoblastoma ( x25).

Initializing download.