-
By Lancaster Course in Ophthalmology
1980 - Uploaded on Mar 4, 2019.
- Last modified by Caroline Bozell on Mar 12, 2019.
- Rating
- Appears in
- Unit 13 Retinoblastoma and Pseudoglioma
- Condition/keywords
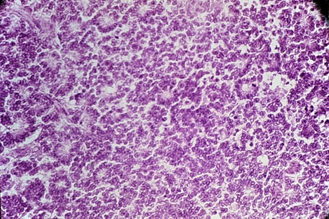
- retinoblastoma, Flexner-Wintersteiner rosettes
- Description
- Retinoblastoma containing numerous Flexner-Wintersteiner rosettes.

Initializing download.