-
By Lancaster Course in Ophthalmology
1980 - Uploaded on Feb 26, 2019.
- Last modified by Caroline Bozell on Mar 8, 2019.
- Rating
- Appears in
- Unit 09 Pathology of the Retina
- Condition/keywords
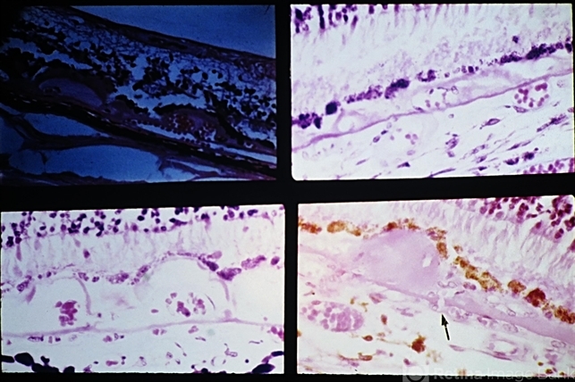
- drusen, macular, Bruch's membrane
- Description
- Vascularized drusen in periphery (upper left) and macular area (upper right and lower left). Note the tiny break in Bruch's membrane (arrow) with a choroidal vessel with an erythrocyte extending into a peripapillary druse.

Initializing download.