-
By Lancaster Course in Ophthalmology
1980 - Uploaded on Feb 26, 2019.
- Last modified by Caroline Bozell on Mar 8, 2019.
- Rating
- Appears in
- Unit 09 Pathology of the Retina
- Condition/keywords
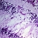
- silicone plate, silastic band
- Description
- Internal erosion of silicone plate and silastic band. An intense acute and chronic inflammatory reaction surrounds the eroded silastic band (lower right). It was believed that the erosion of the encircling band and plate occurred as a result of its having been tied too tightly.

Initializing download.