-
By Lancaster Course in Ophthalmology
1980 - Uploaded on Feb 26, 2019.
- Last modified by Caroline Bozell on Mar 7, 2019.
- Rating
- Appears in
- Unit 09 Pathology of the Retina
- Condition/keywords
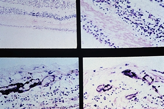
- Bassen-Kornzweig syndrome, photoreceptor cell, hyperplasia, retinal pigment epithelium
- Description
- Bassen-Kornzweig syndrome. There is thinning of the outer nuclear layer in the parafoveal area (upper view). In the midperiphery of the retina there is more marked degeneration of the photoreceptor cells, hyperplasia, and migration of the retinal pigment epithelium into the retina in a perivascular location.

Initializing download.